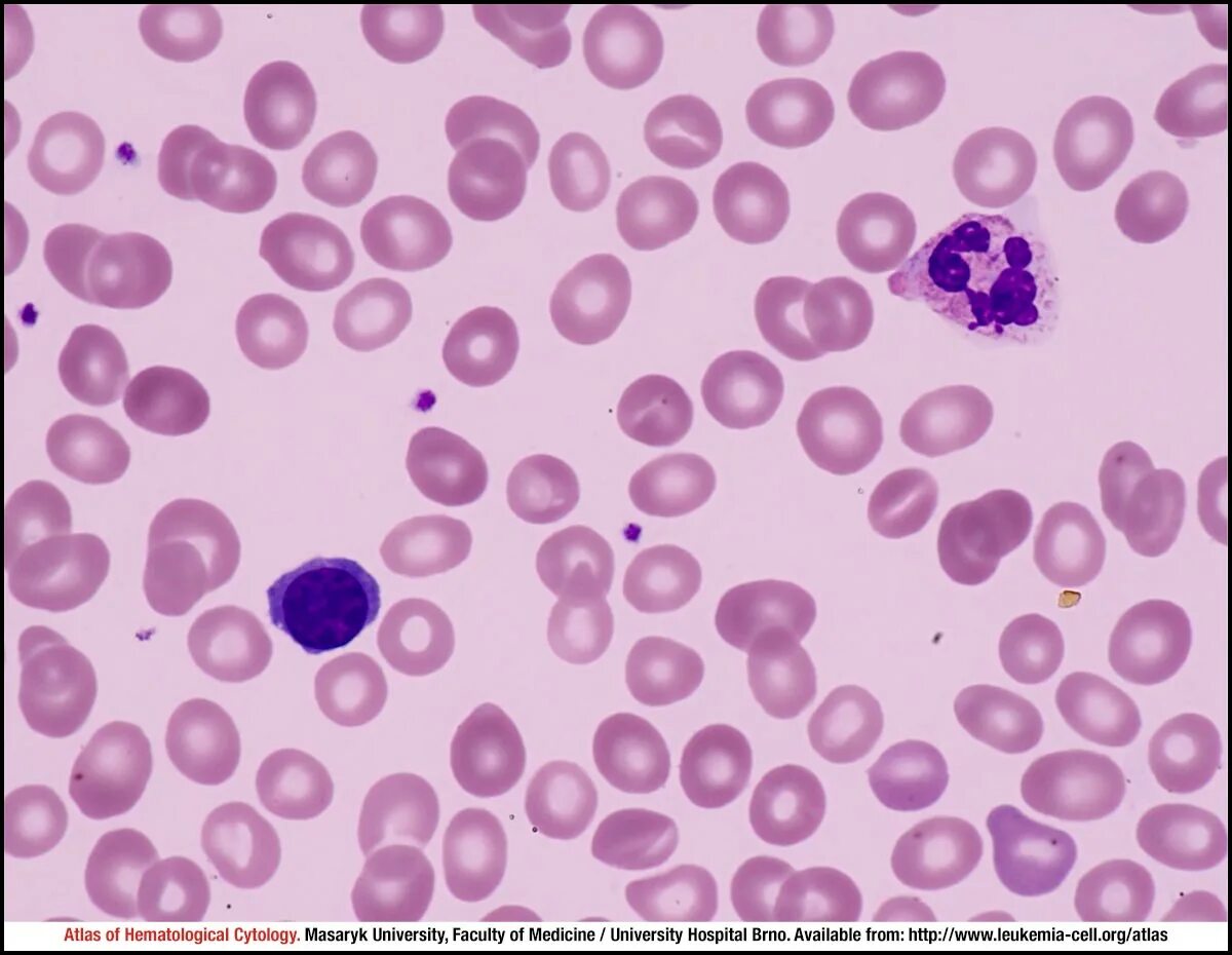
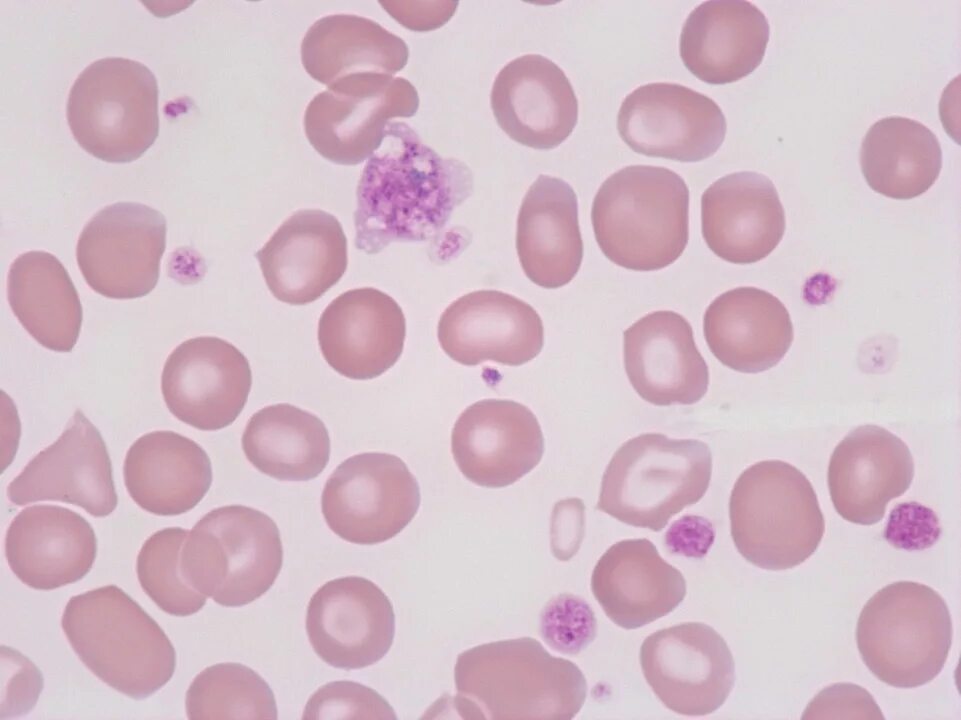
Анизоцитоз эритроцитов повышен у кошек