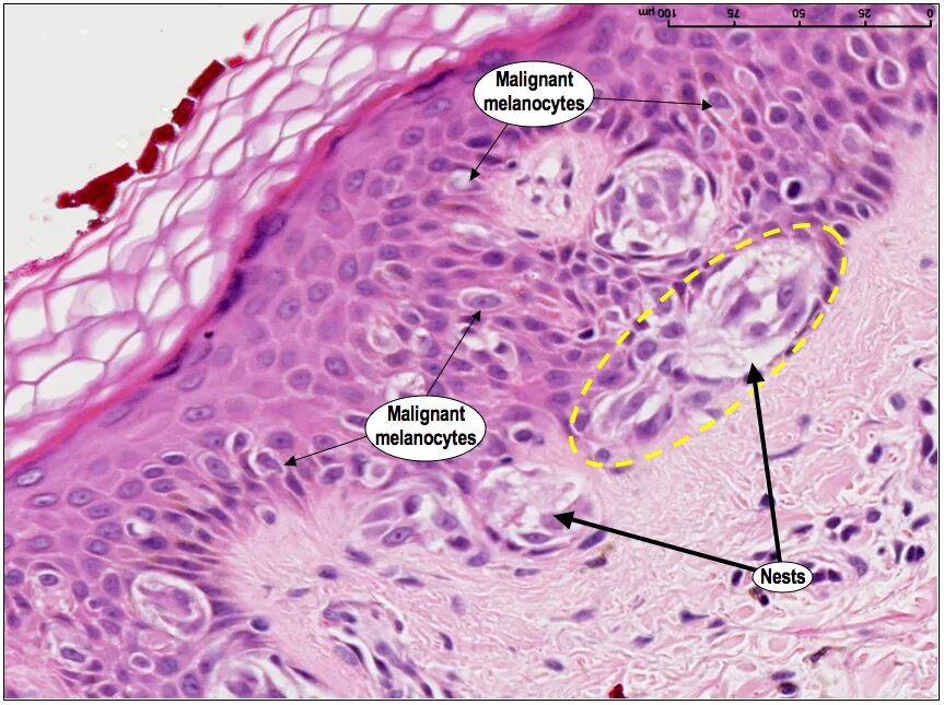
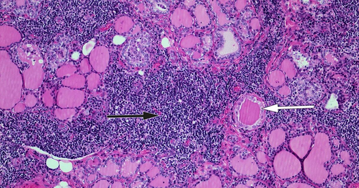
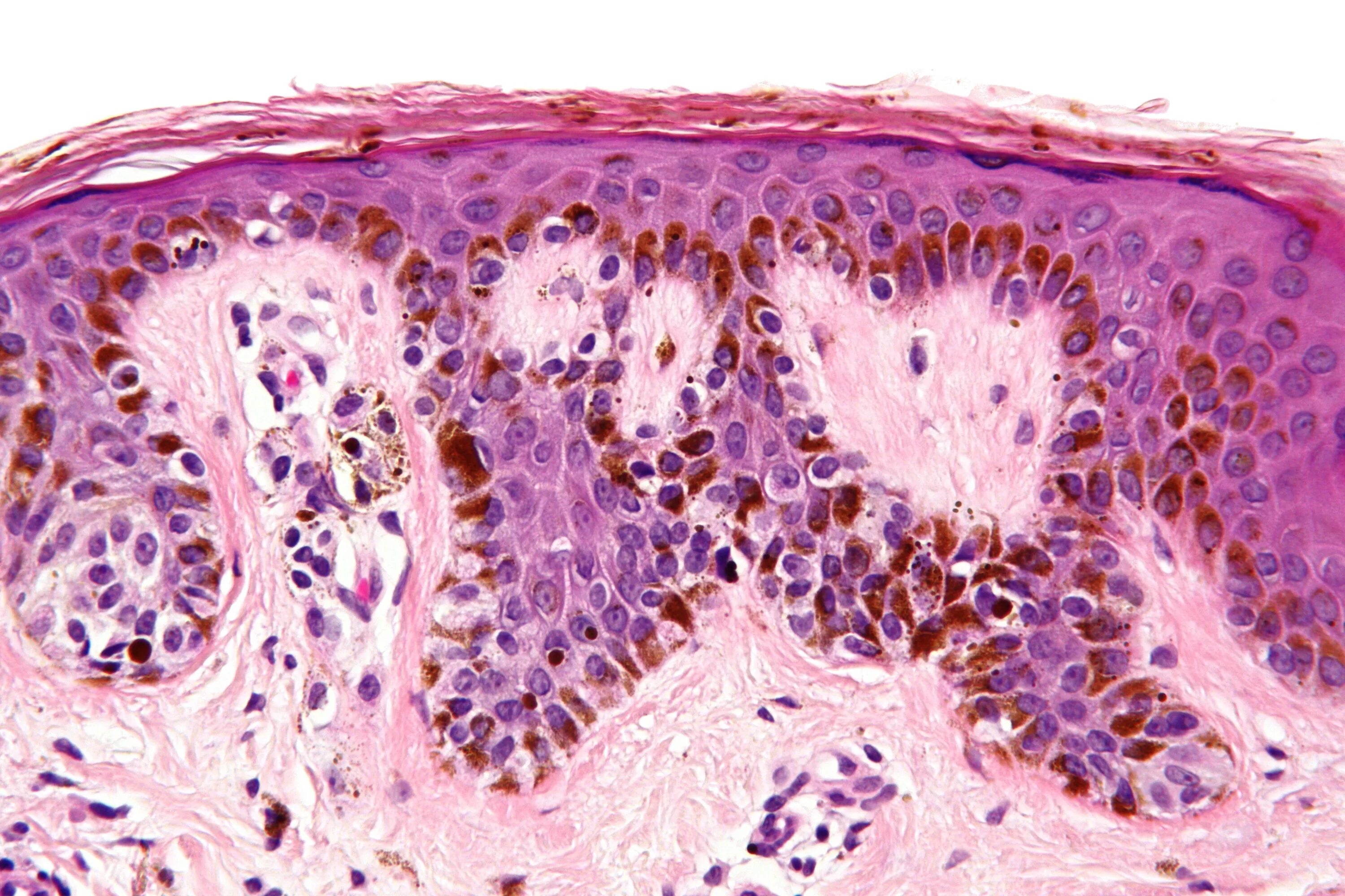
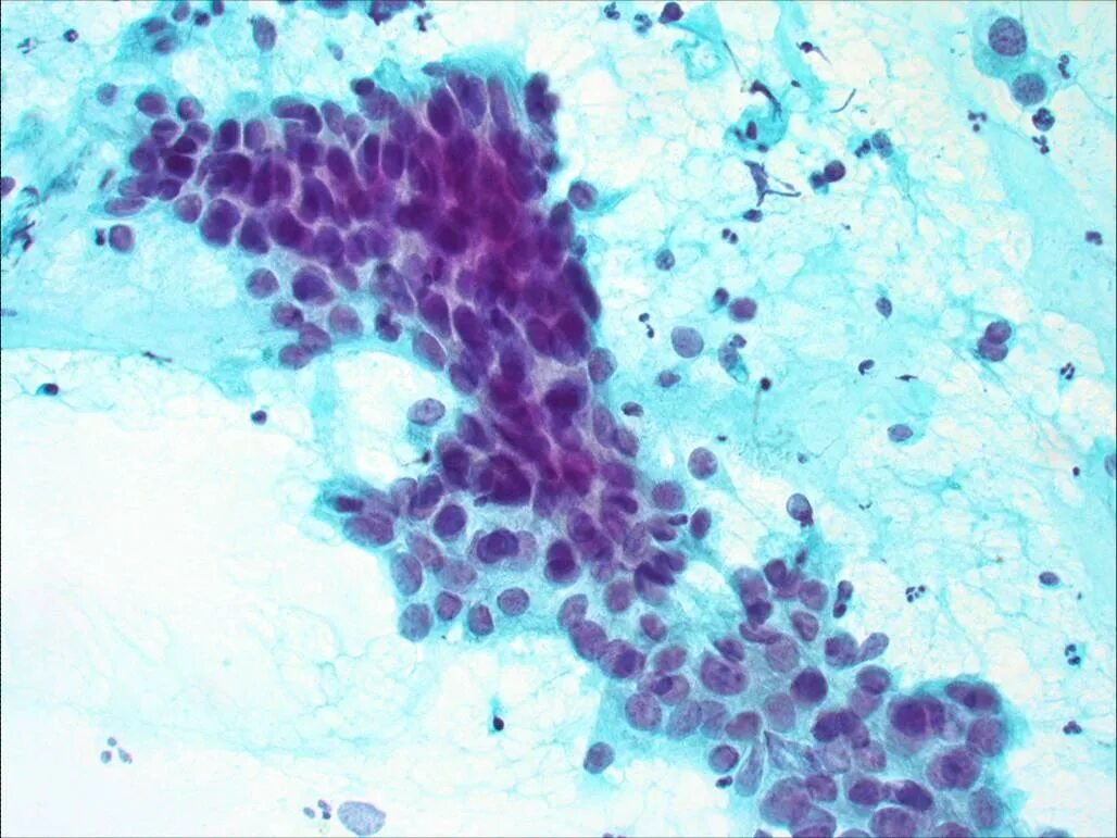
Атипичные клетки гистологии