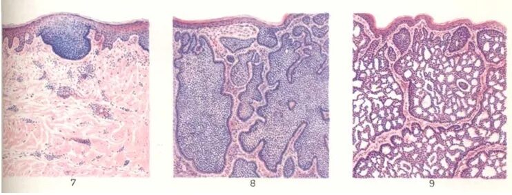
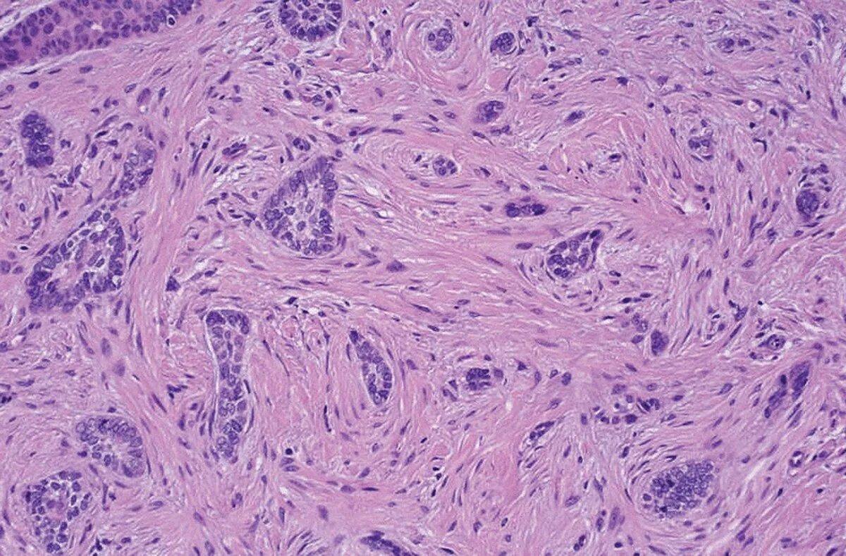
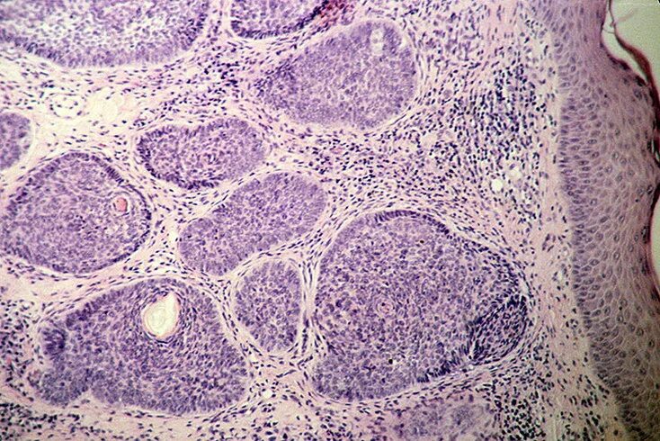
Базальная опухоль