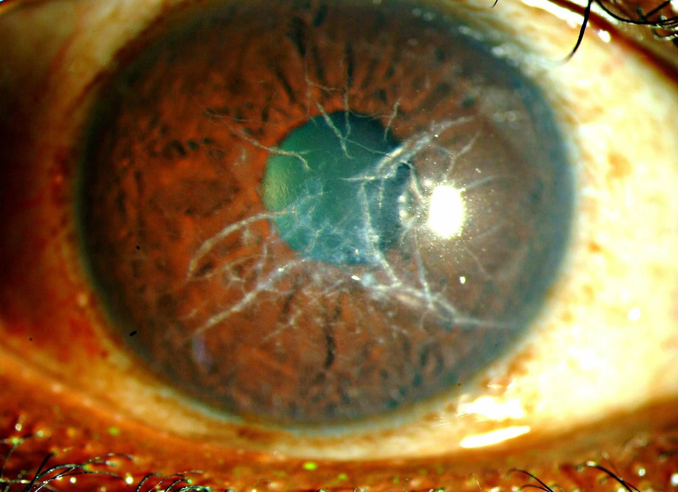
Болезни зрачка глаза