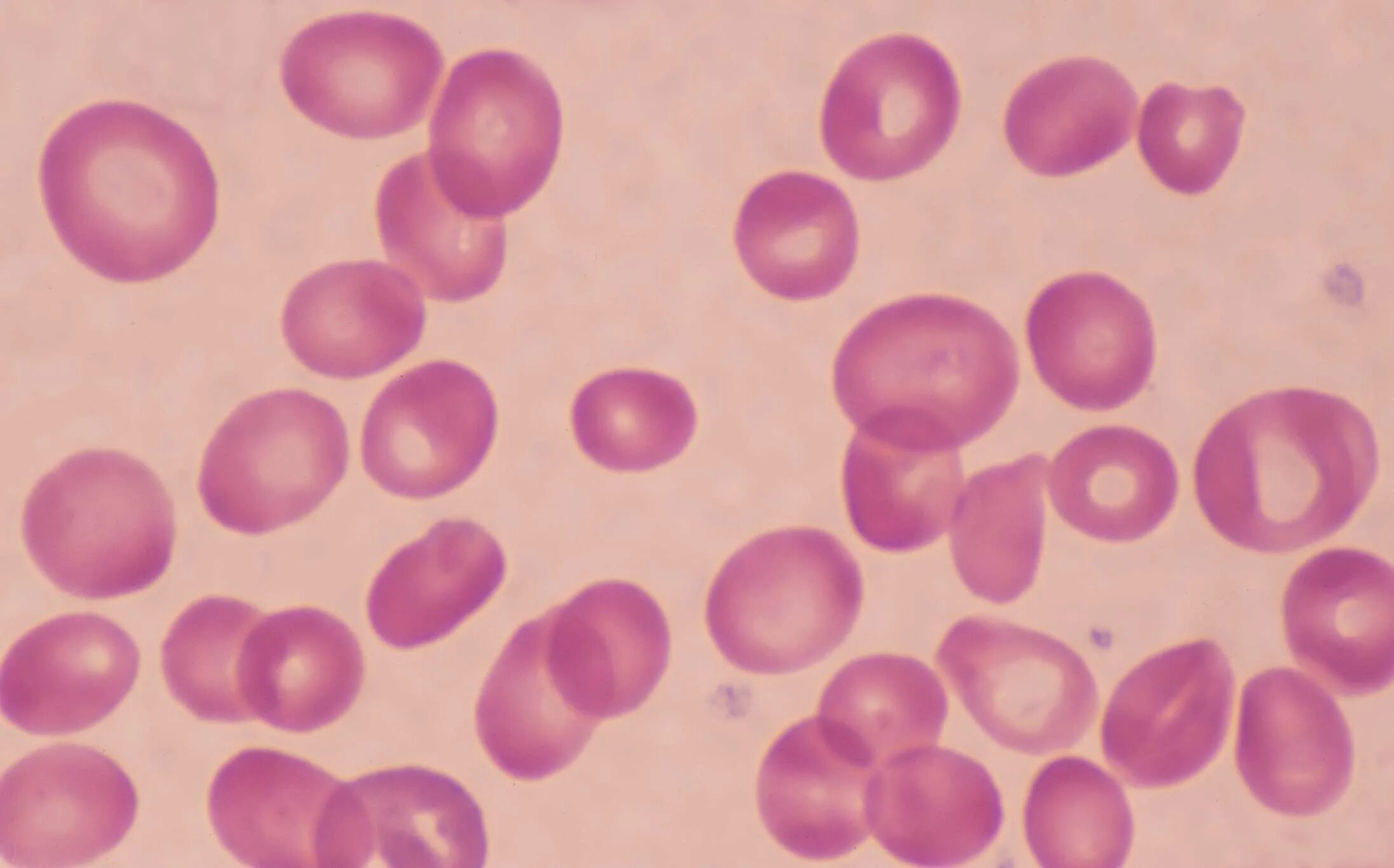
Большие эритроциты