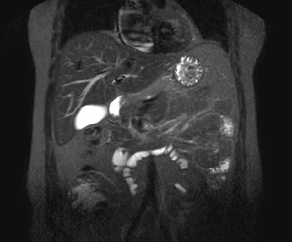
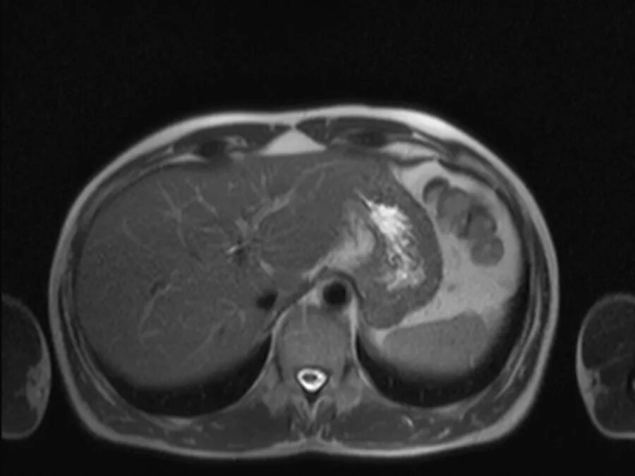
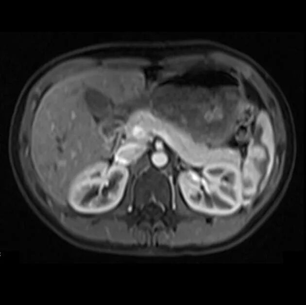
Что проверяет мрт брюшной полости