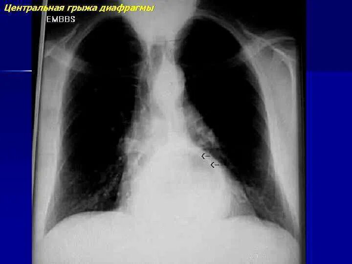
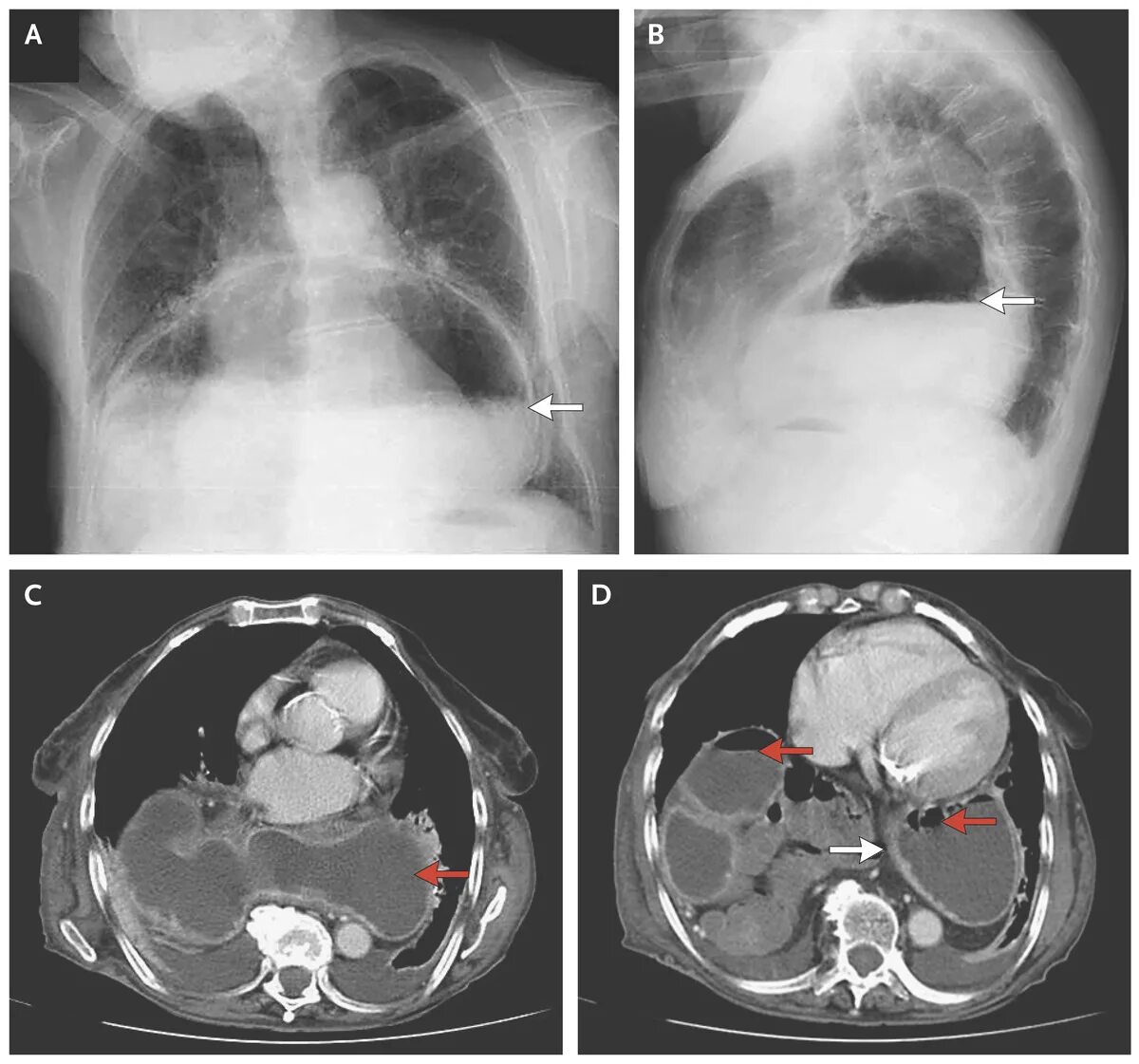
Диагностика диафрагмальной грыжи