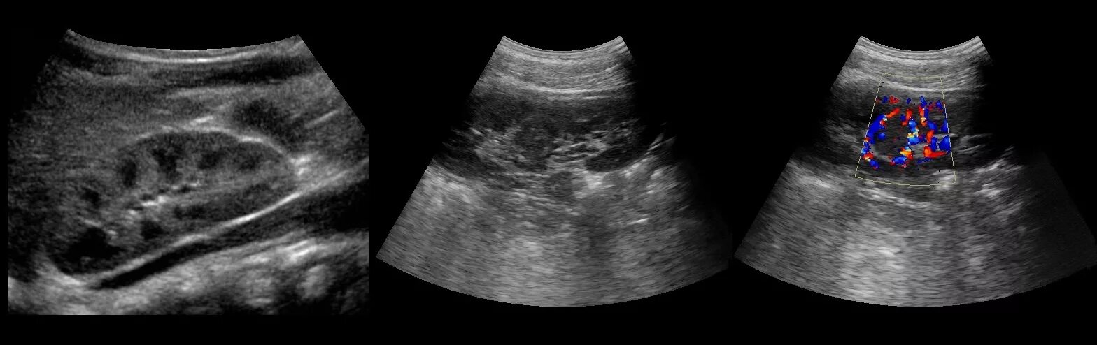
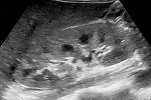
Диффузно неоднородное изменение синусов почек