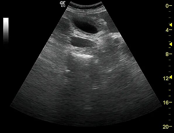
Диффузное утолщение стенок