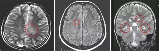
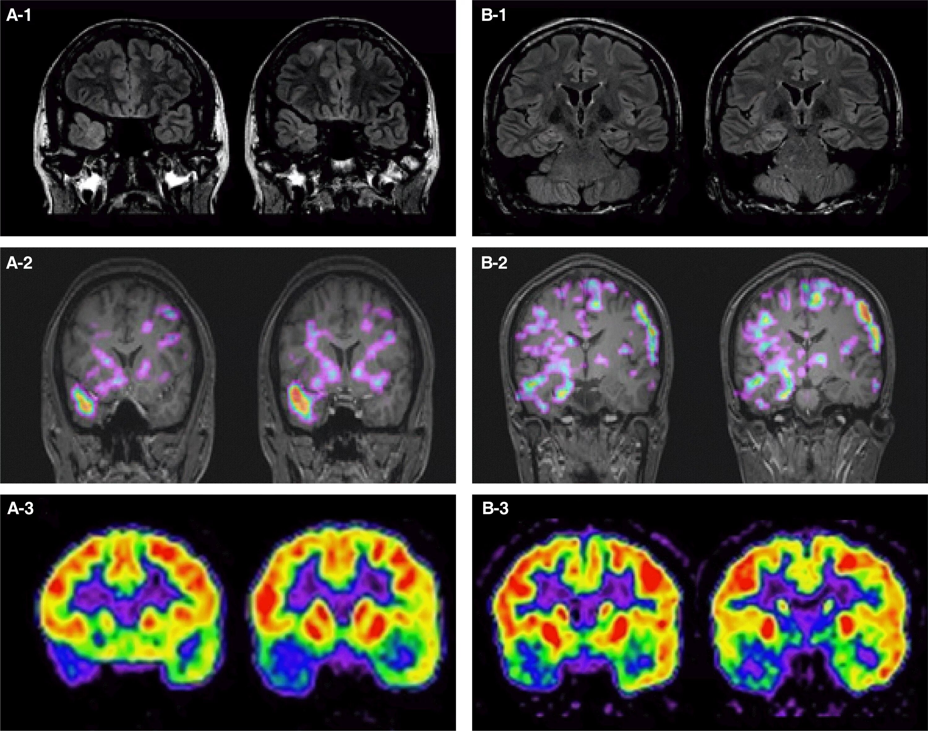
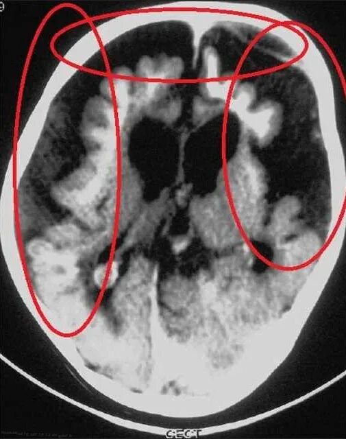
Диффузной биполушарной кортикальной атрофии