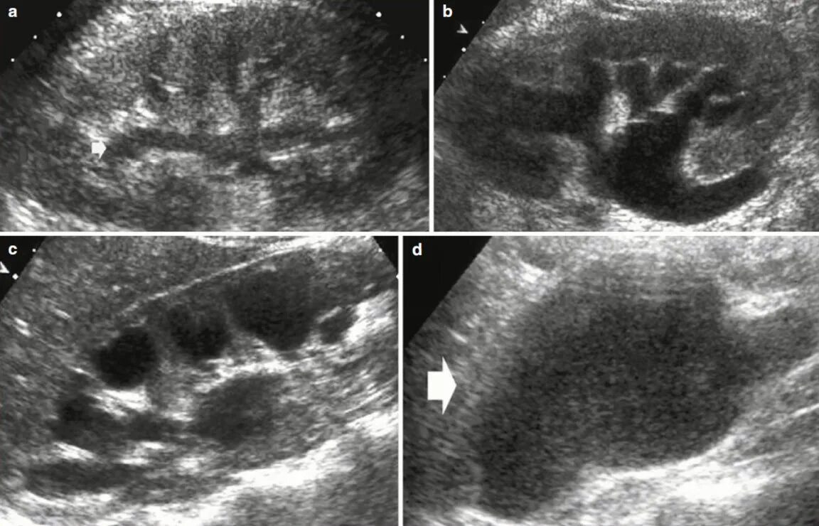
Диффузные изменения члс