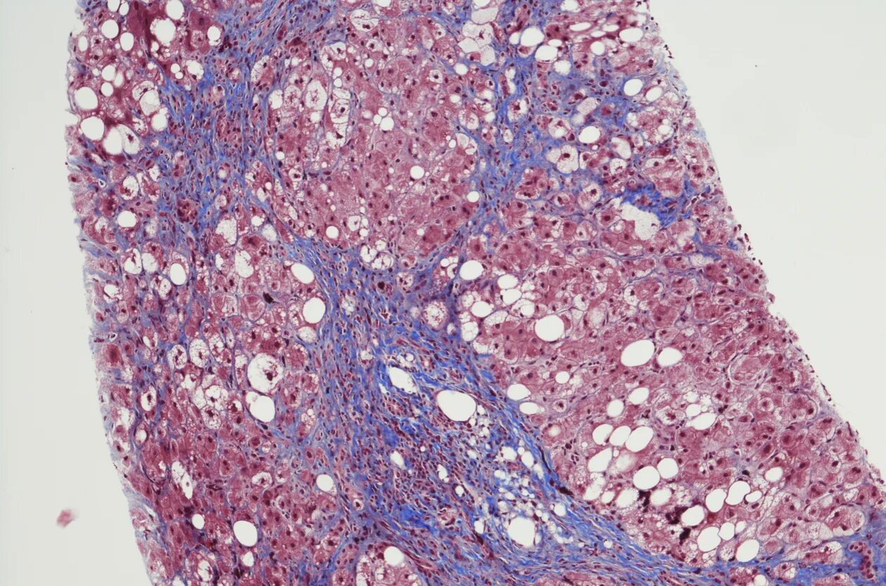
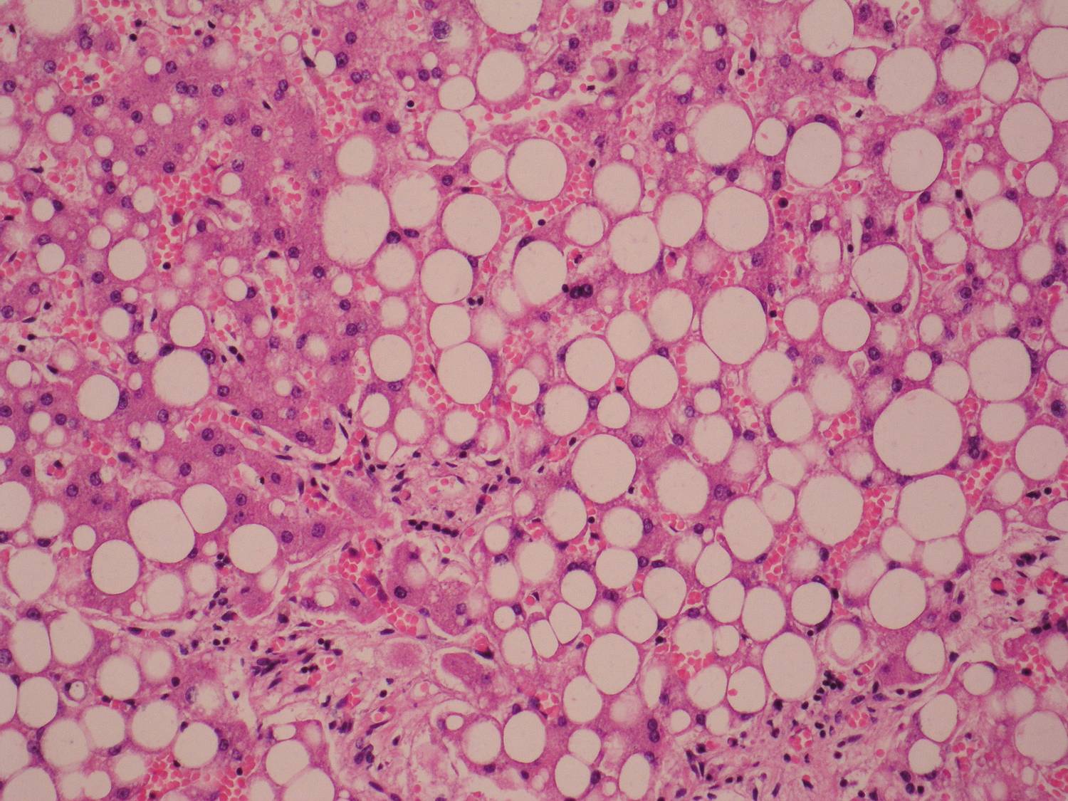
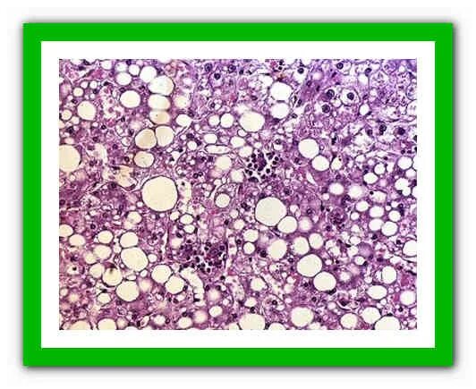
Диффузный стеатоз что это