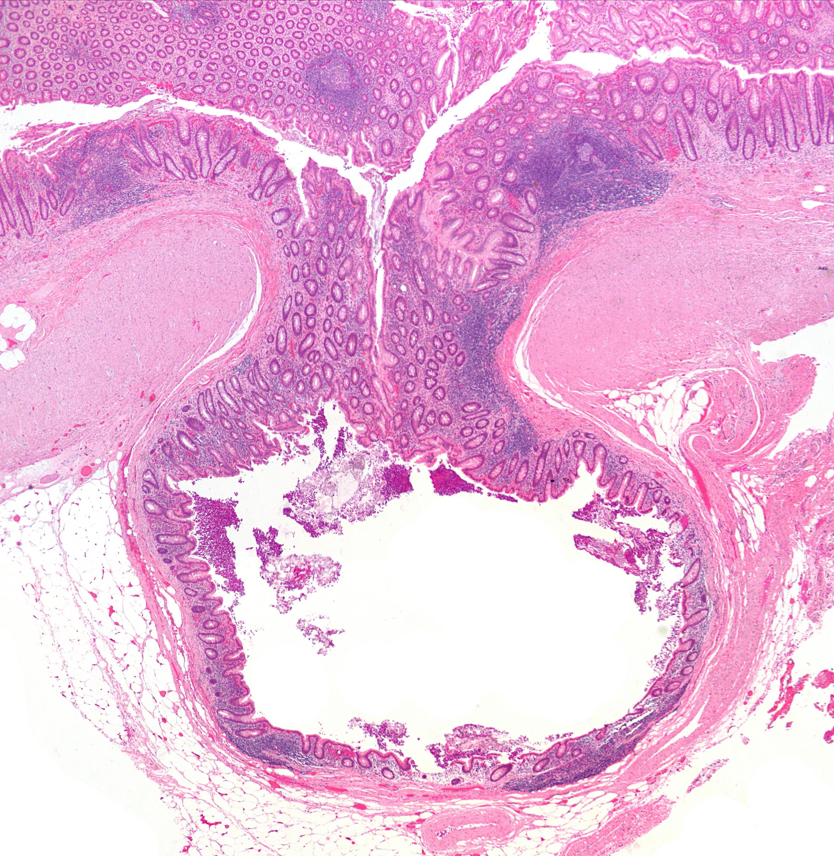
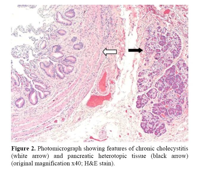
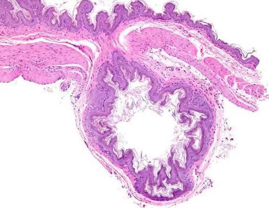
Дивертикул гистология