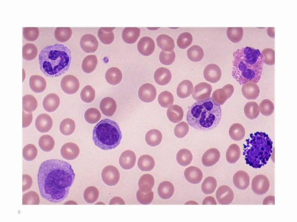
Эритроциты лимфоциты моноциты