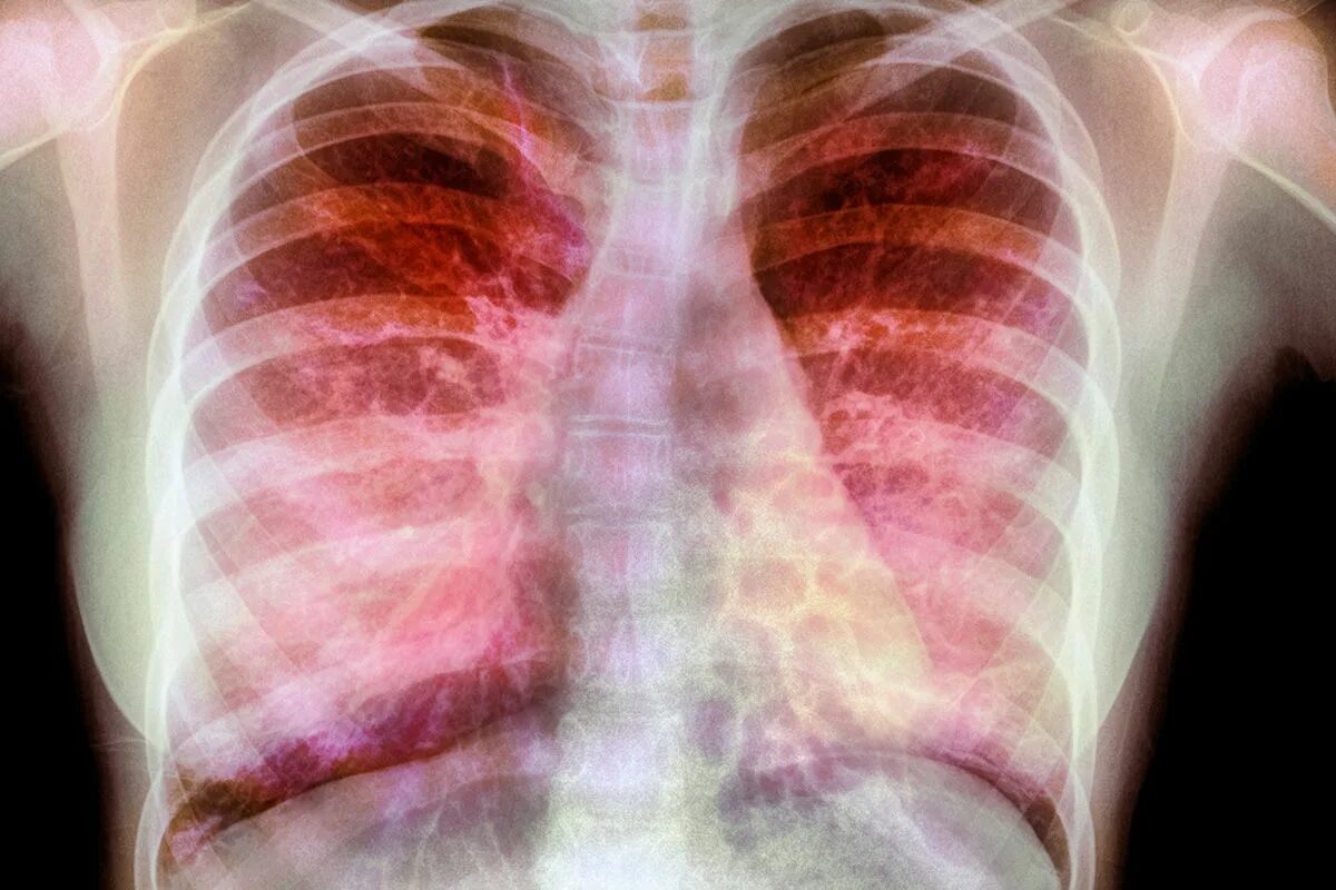
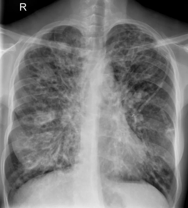
Фиброзное заболевание легких