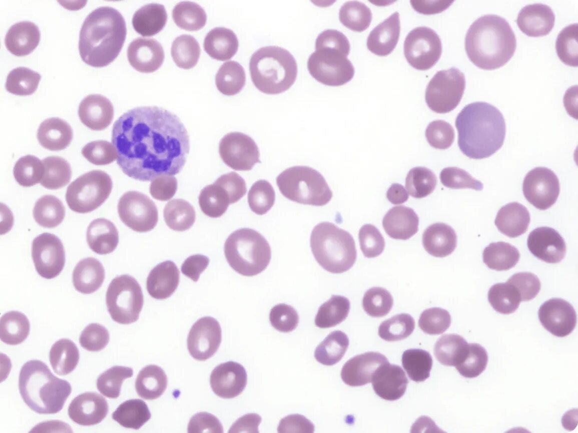
Фолиевая в эритроцитах