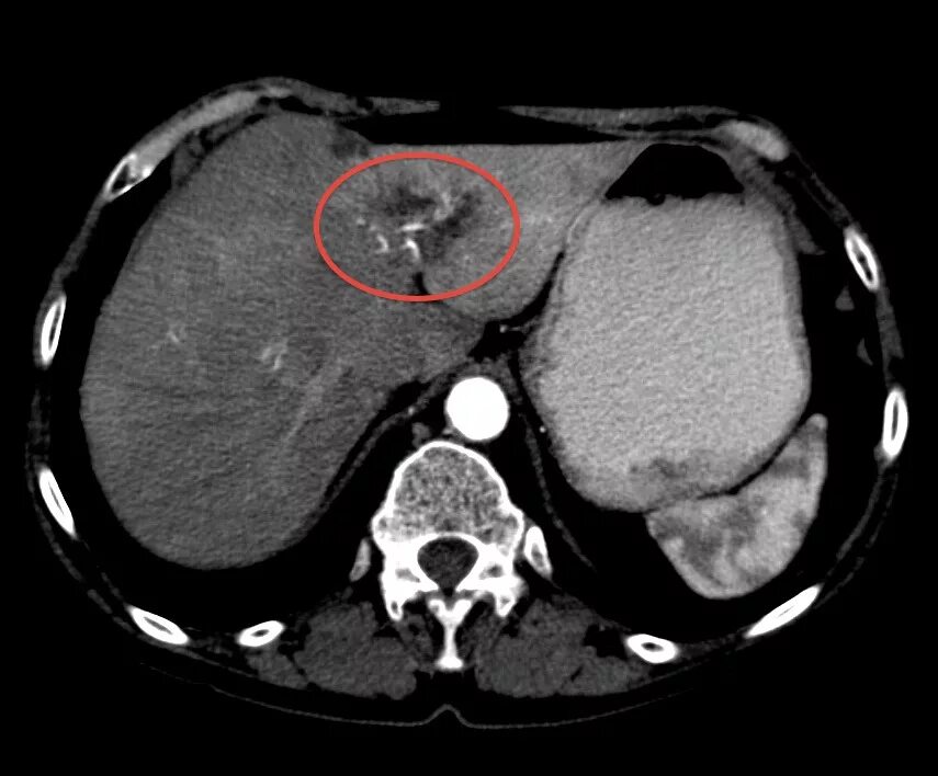
Гиподенсивное образование что это значит