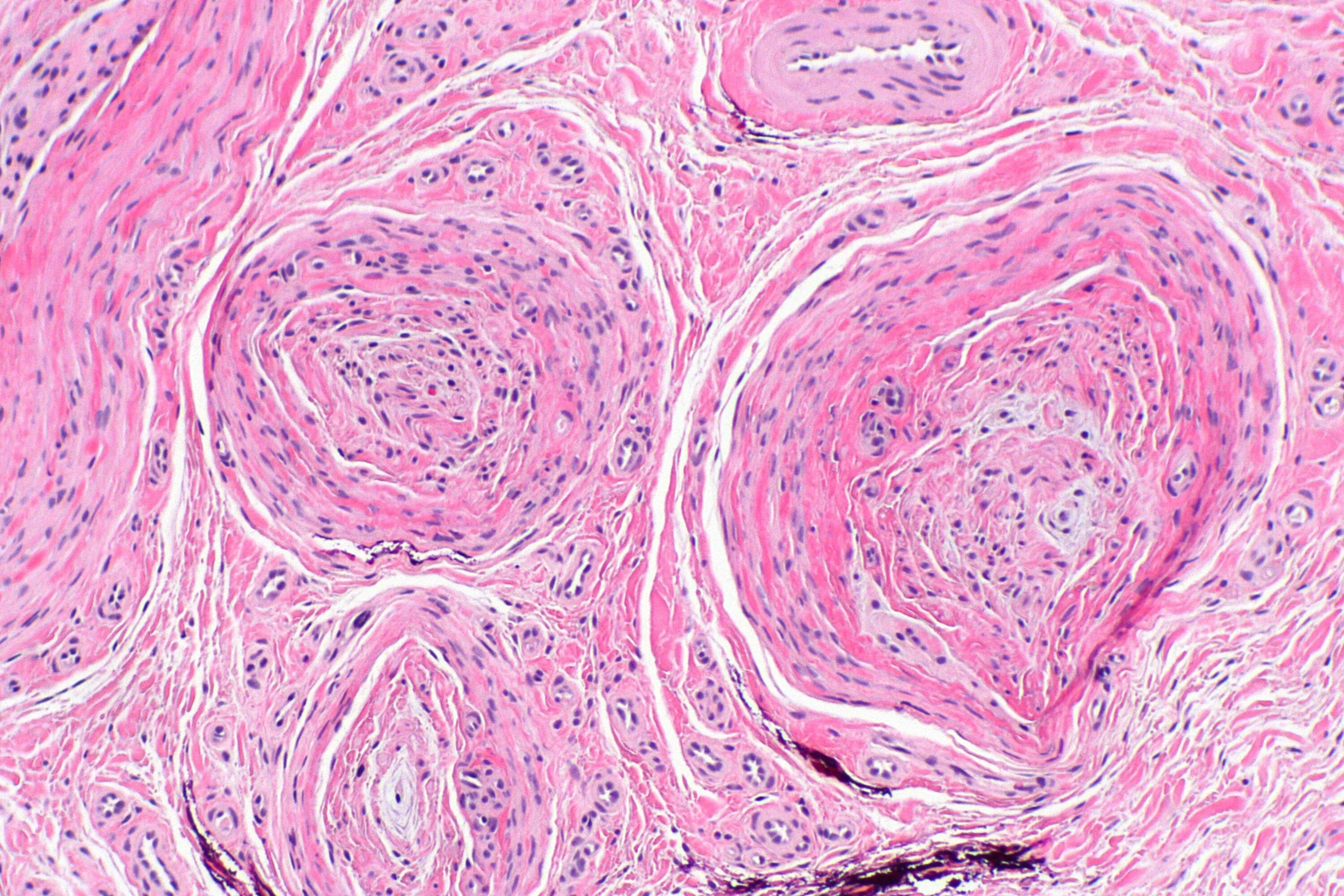
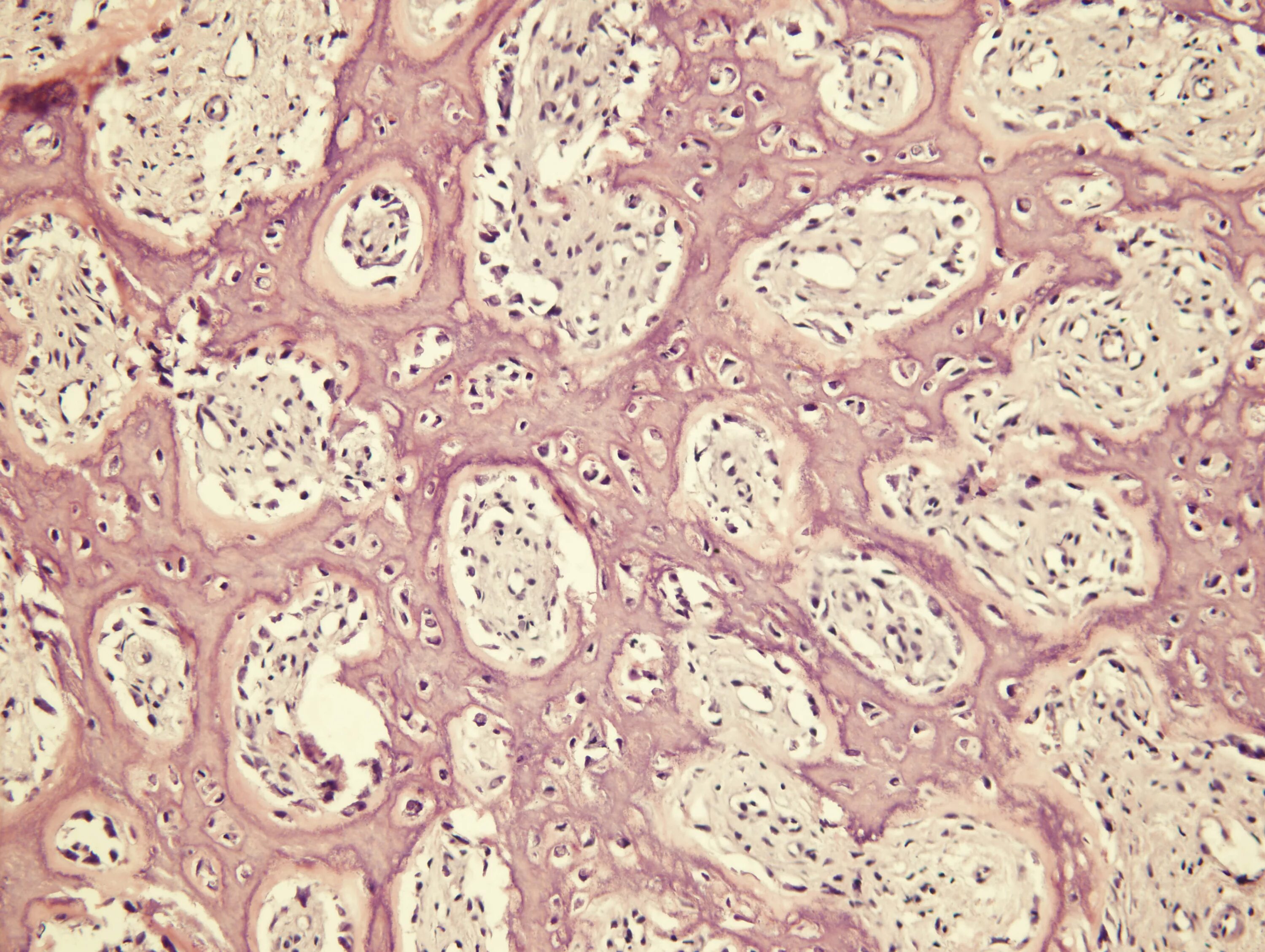
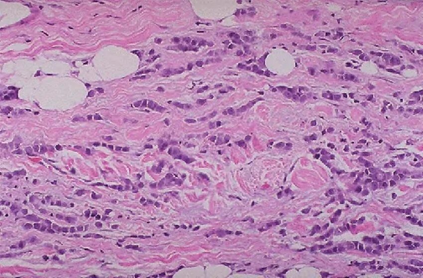
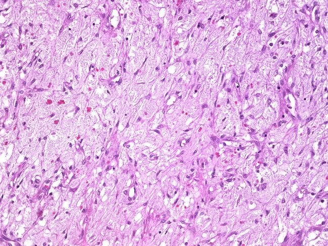
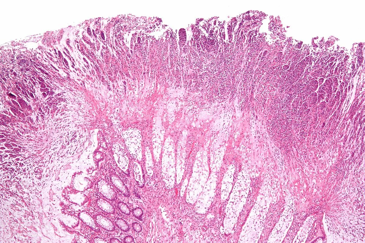
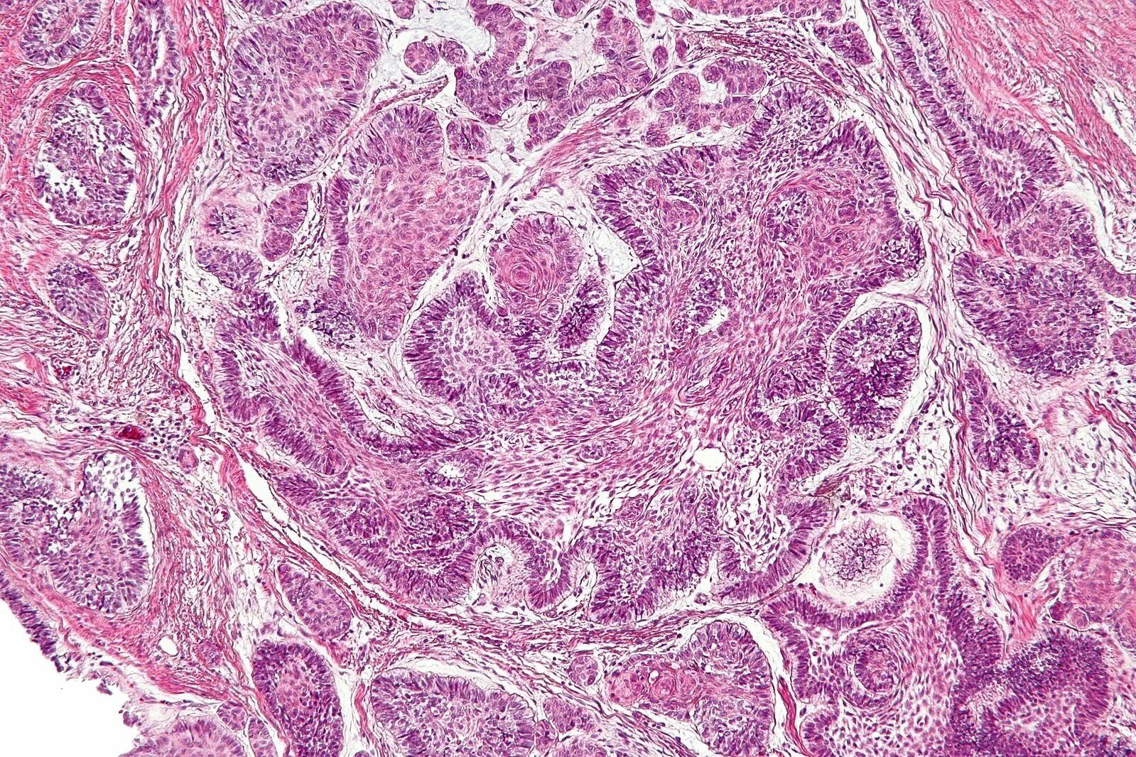
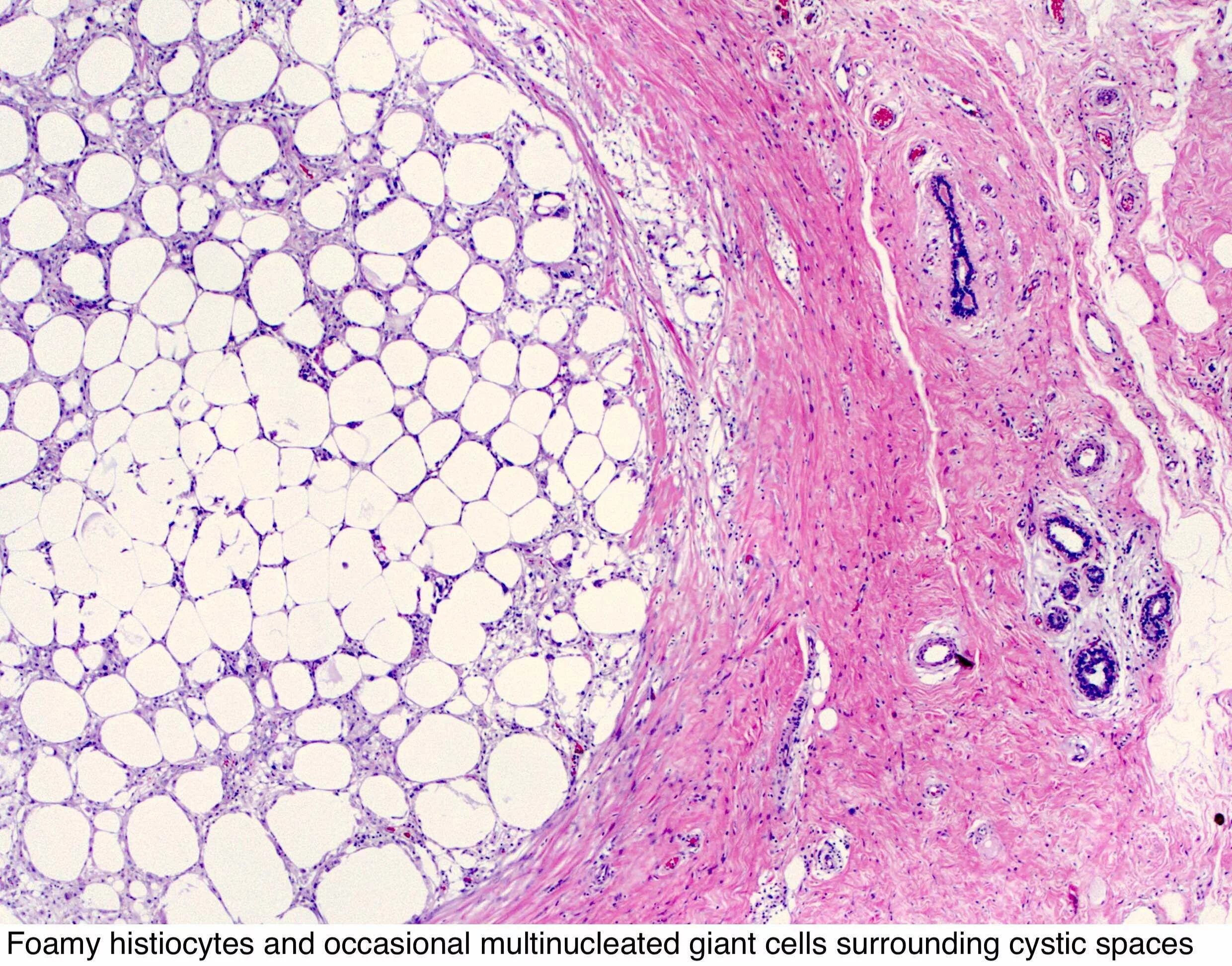
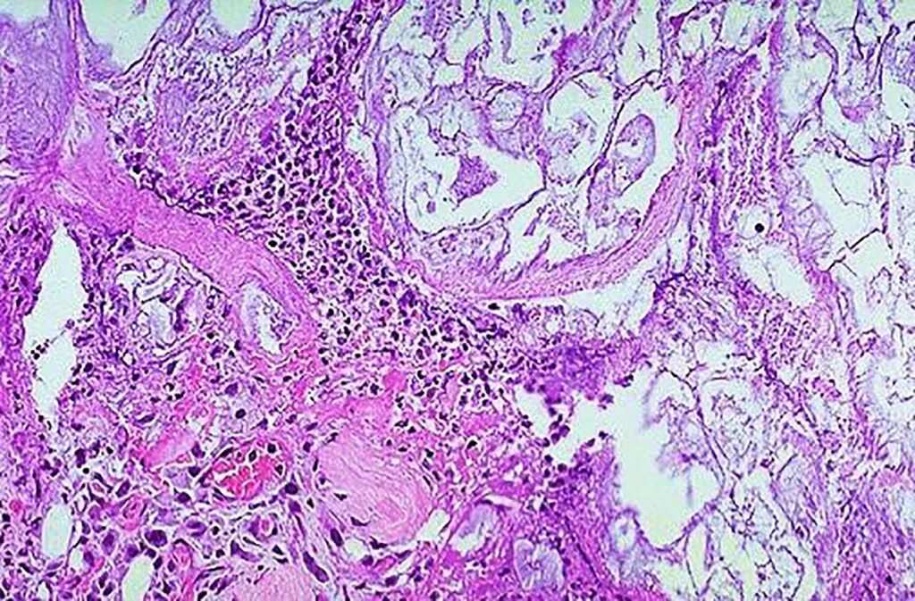
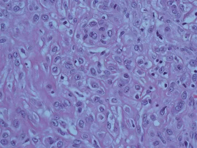
Гистология фиброзные фрагменты