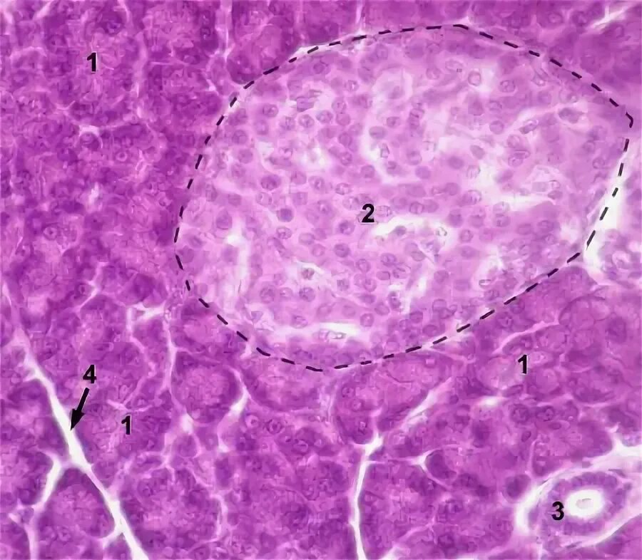
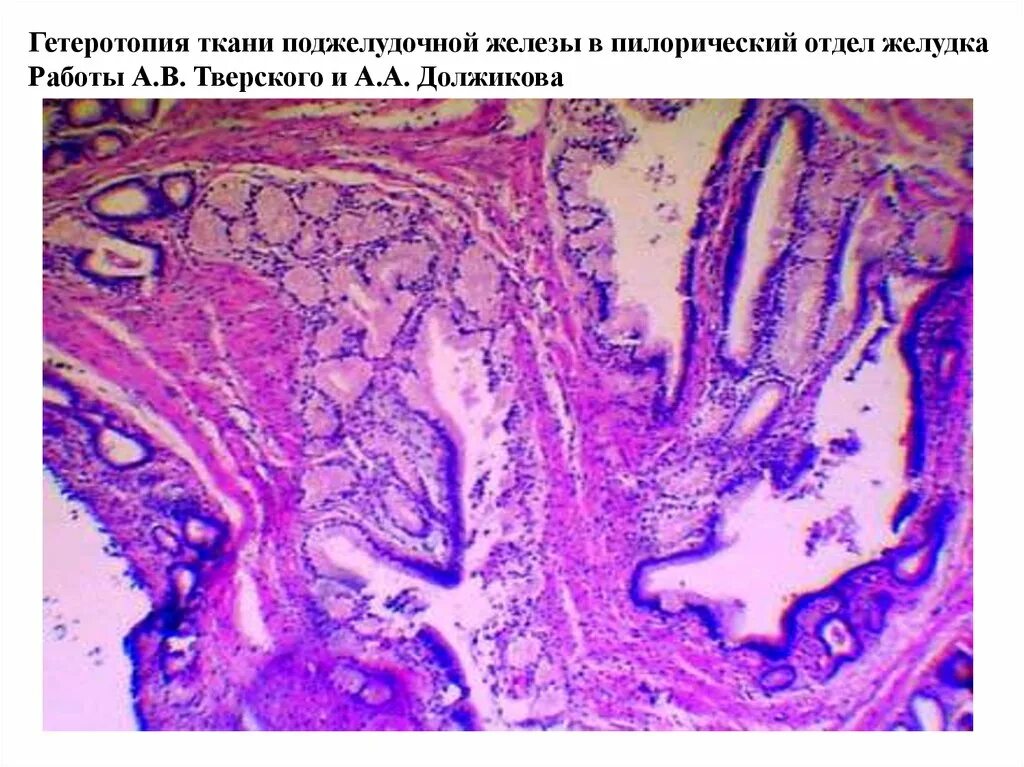
Гистология печени и поджелудочной железы