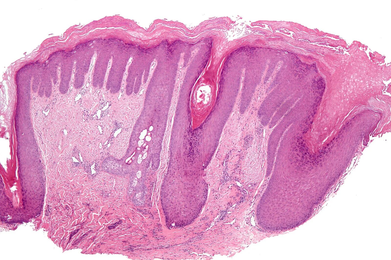
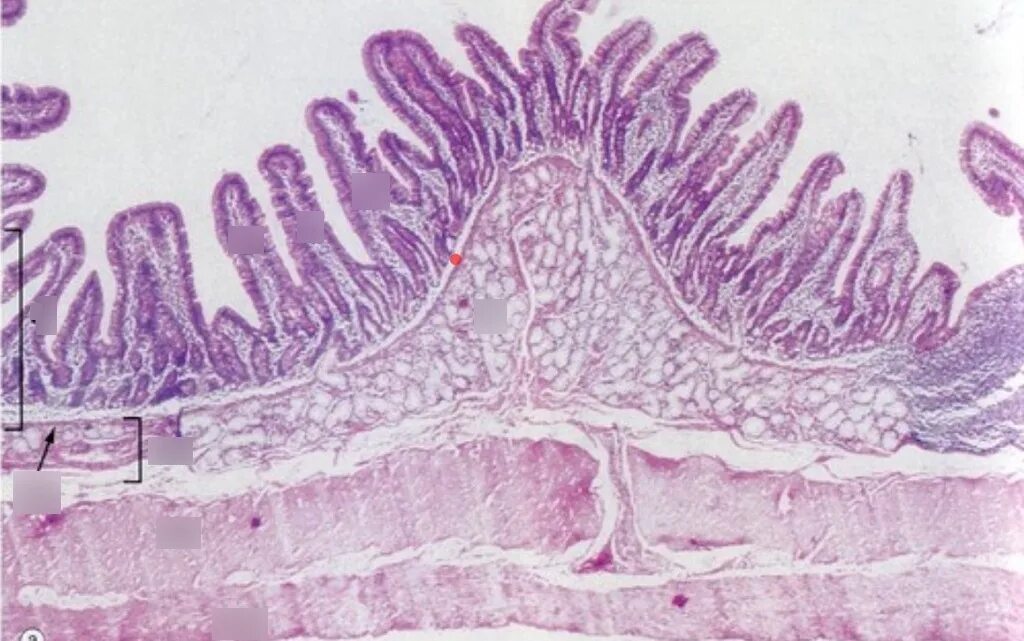
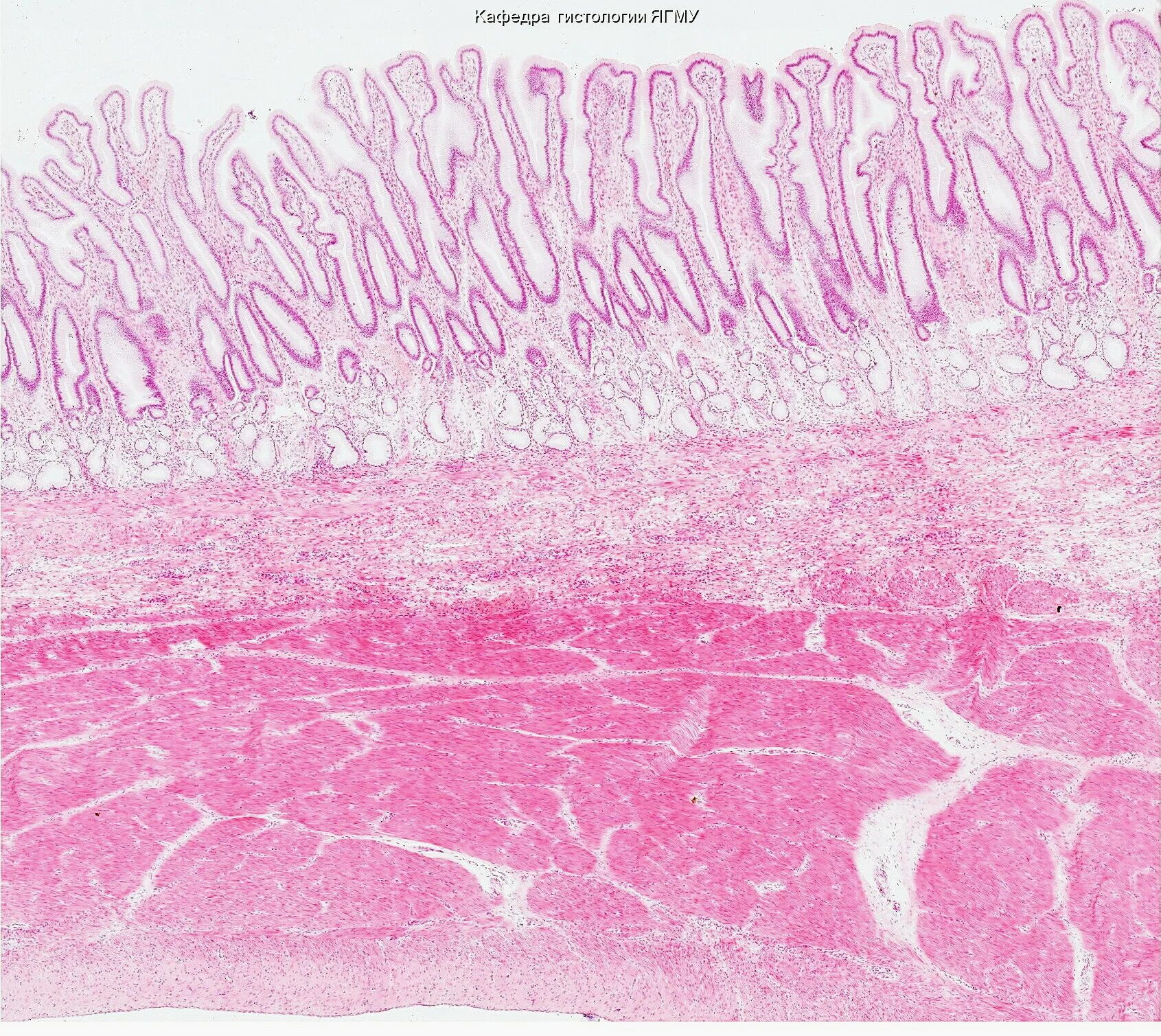
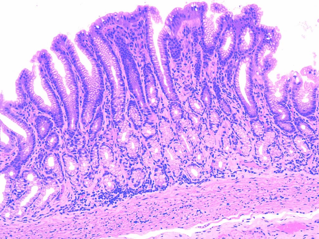
Гистология слизистой оболочки