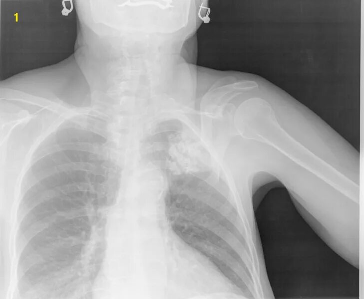
Грудино ключичная артрит