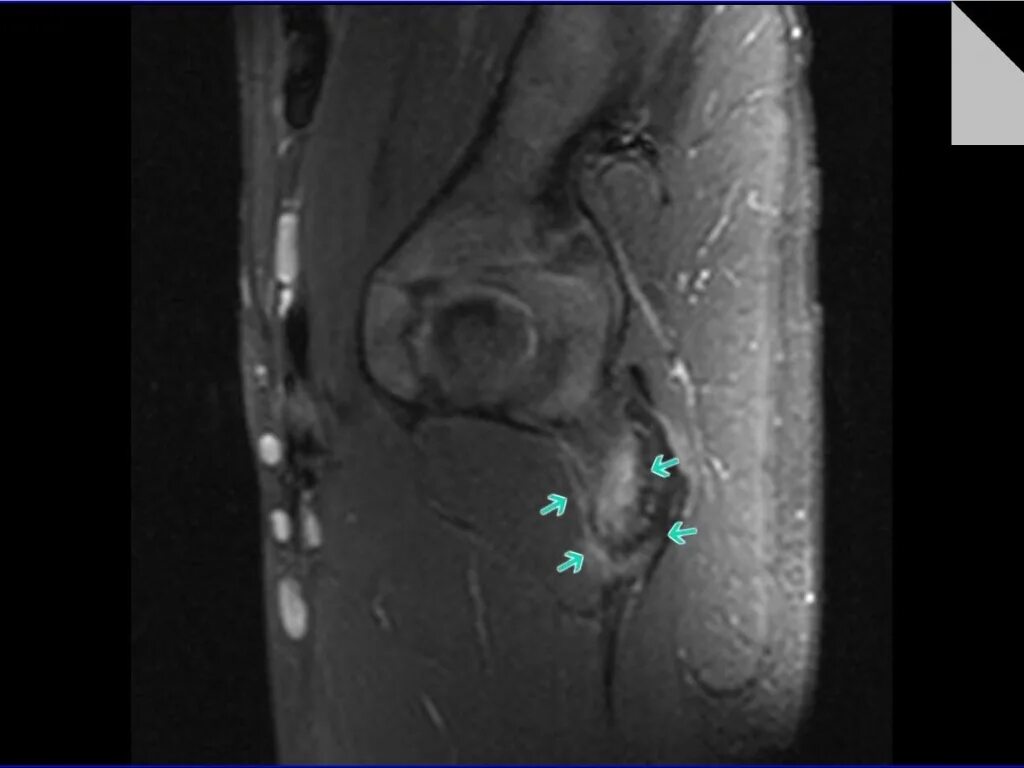
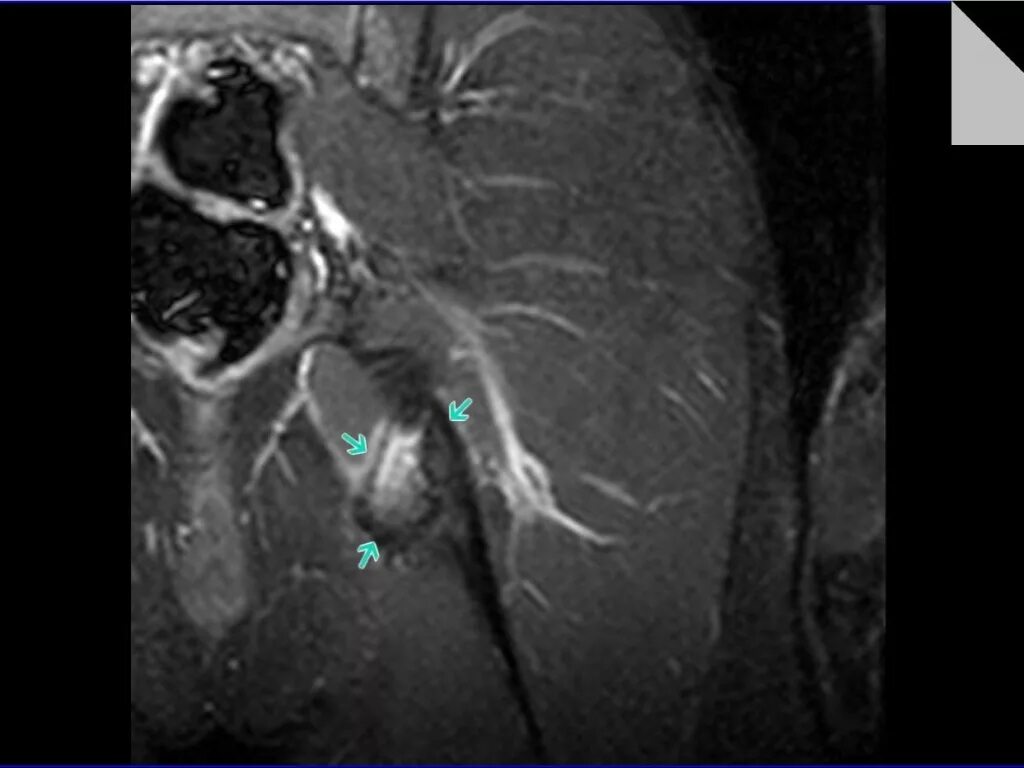
Хамстринг синдром тазобедренного сустава