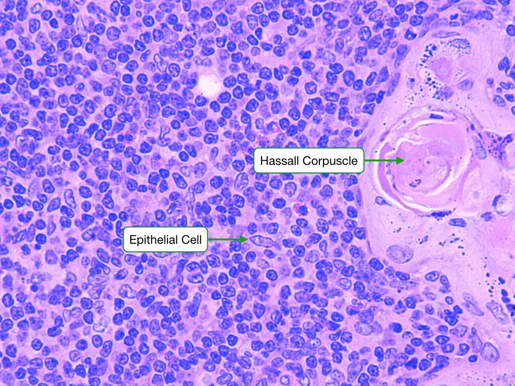
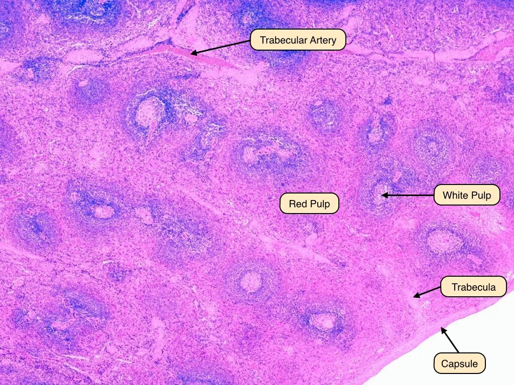
Иммунная система гистология