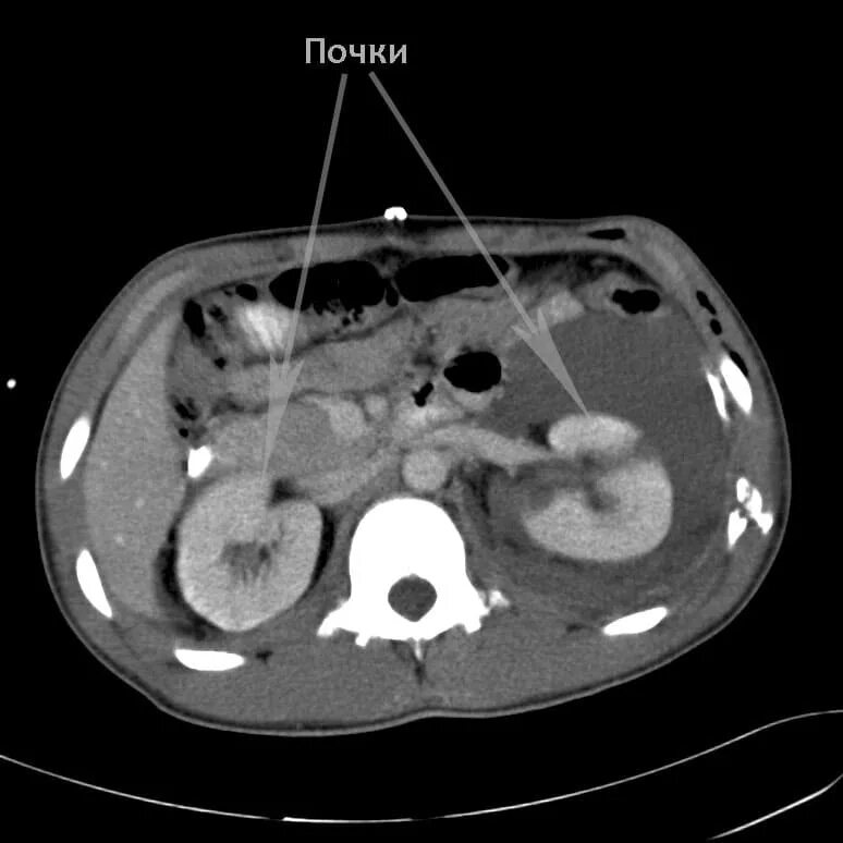
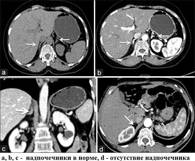
Как подготовиться к кт с контрастом почек