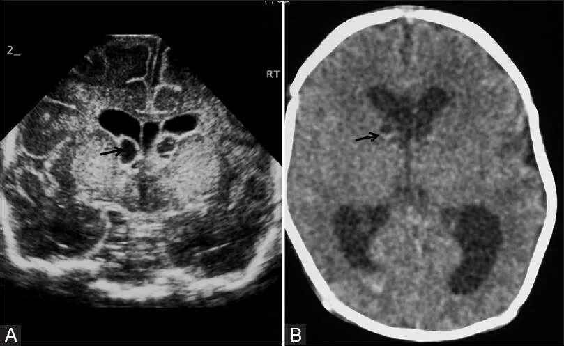
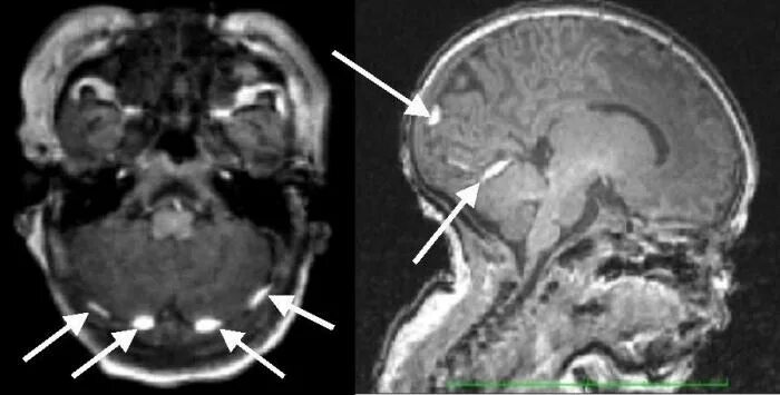
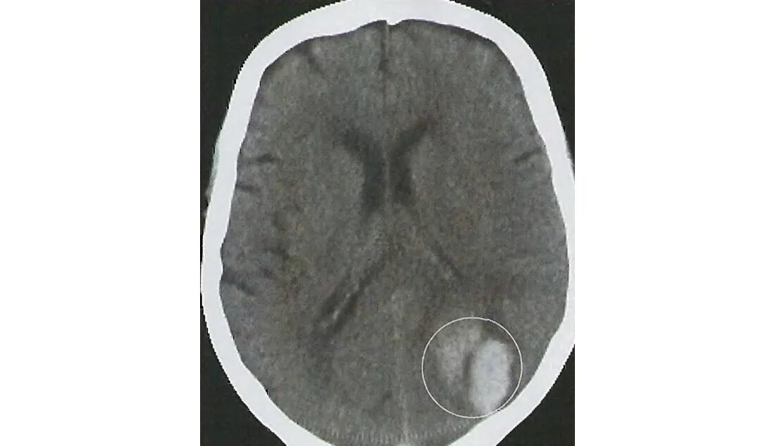
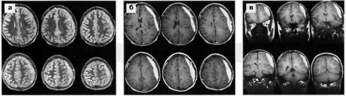
Кровоизлияние в мозг у новорожденного степени