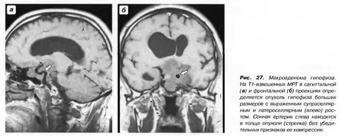
Макроаденома гипофиза