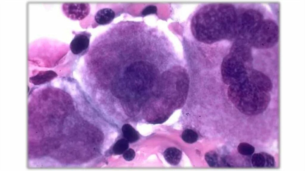
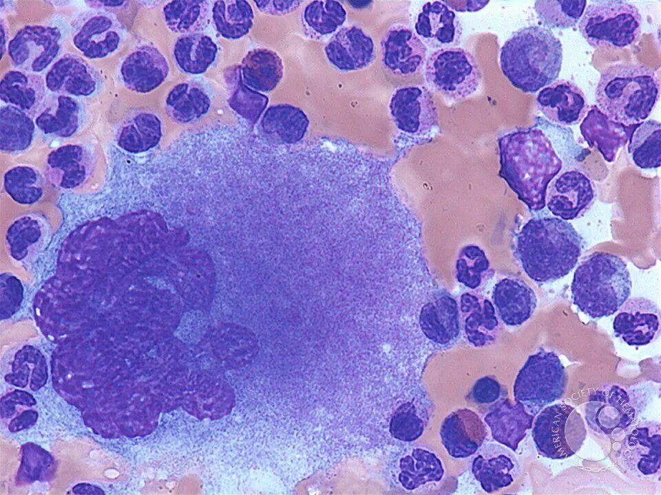
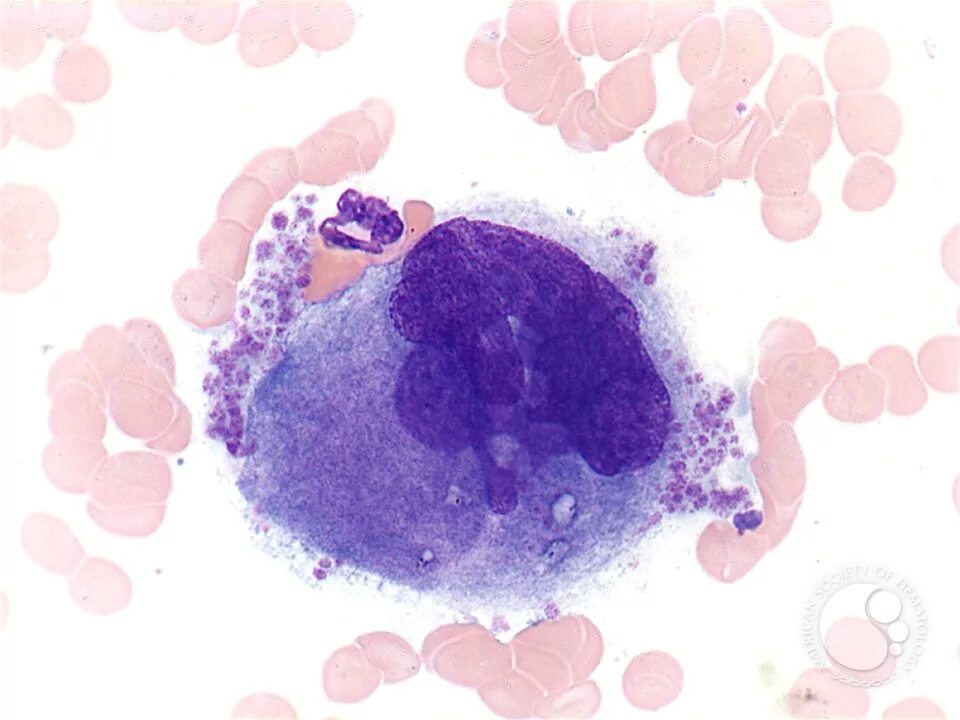
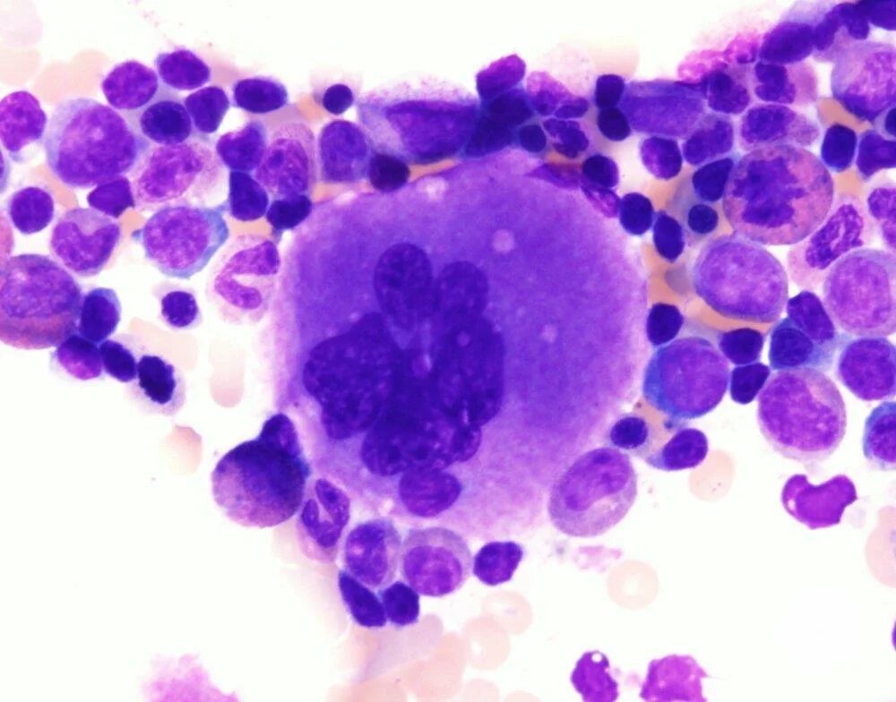
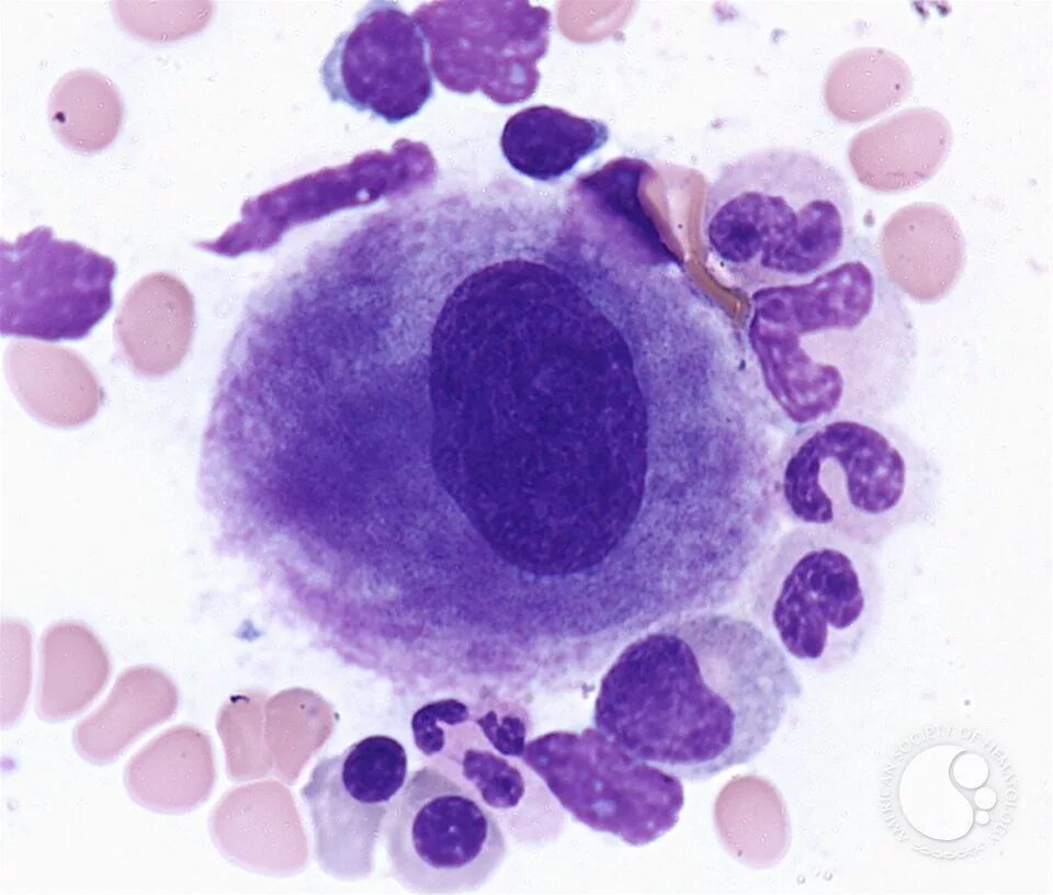
Мегакариоцит цитоплазма