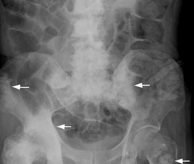
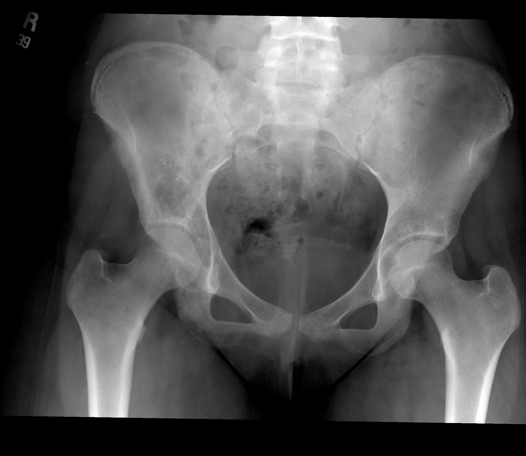
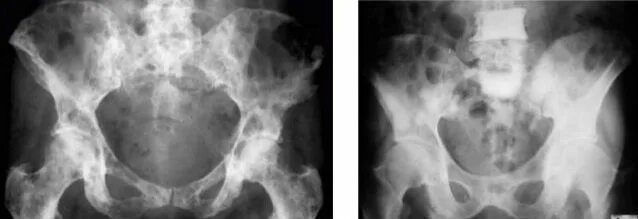
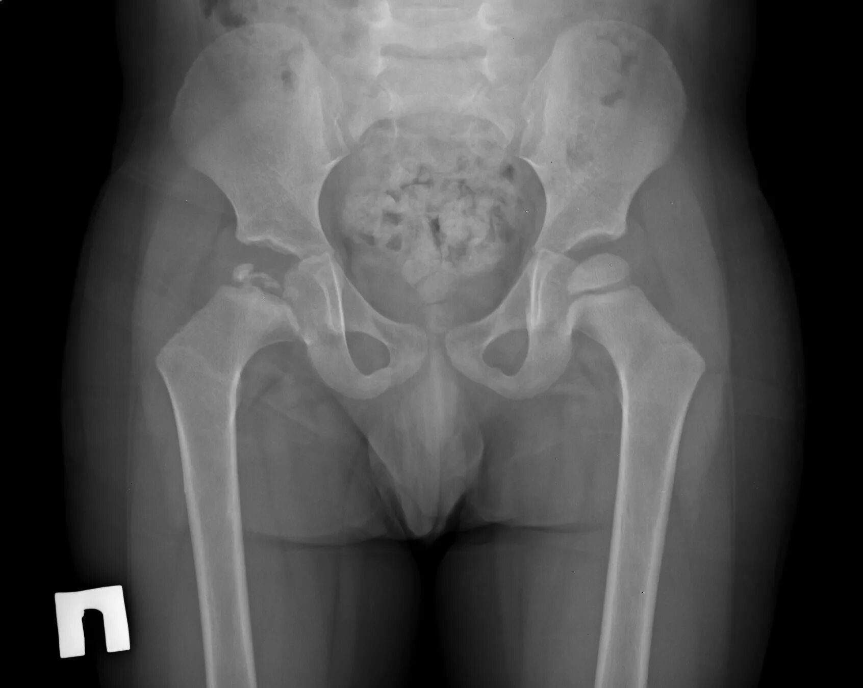
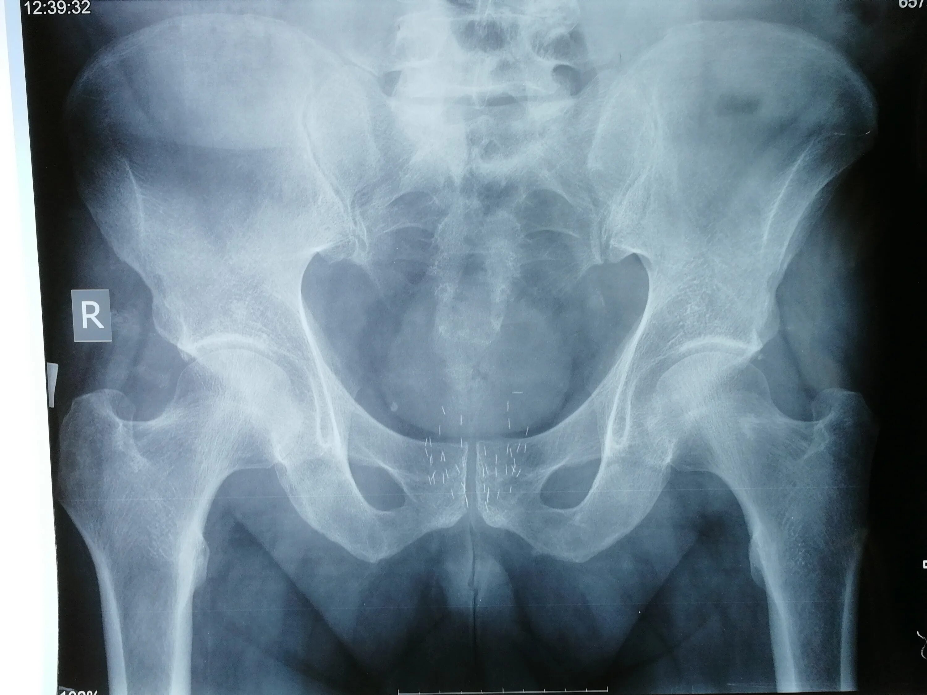
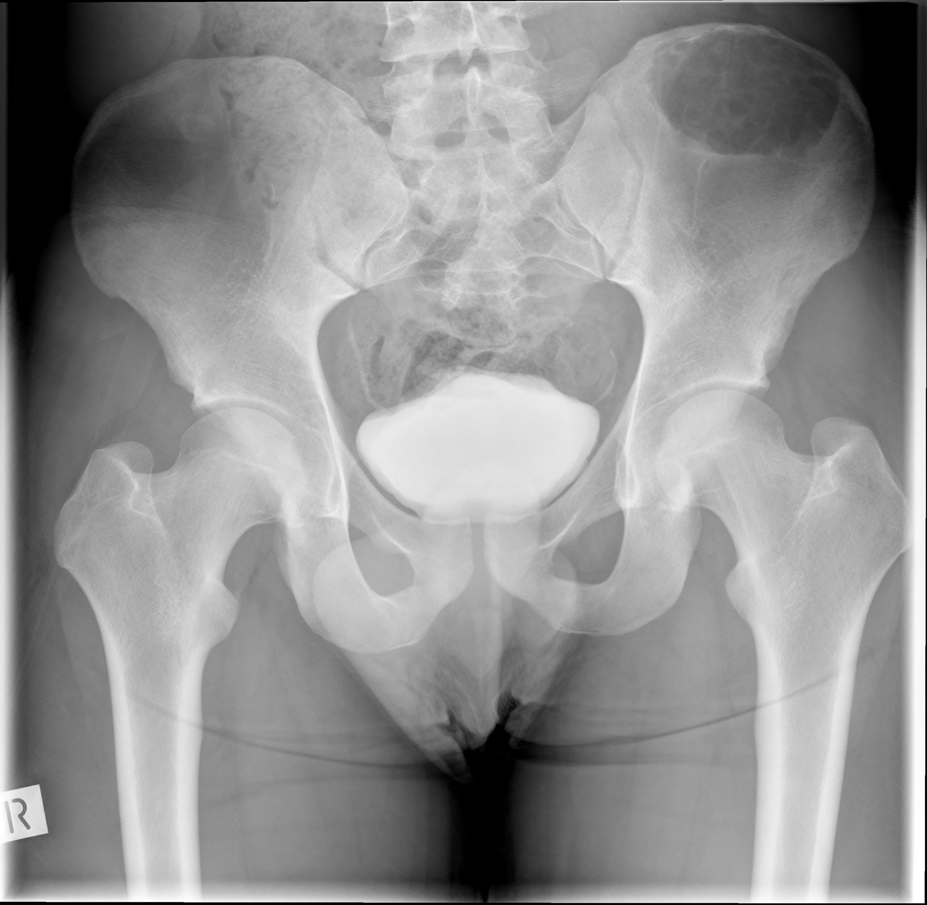
Метастазы в тазобедренном