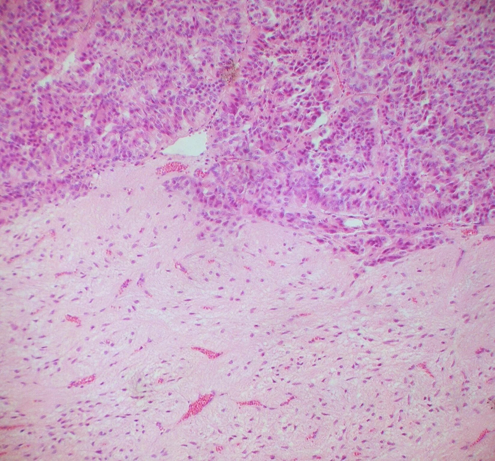
Модуль гистология