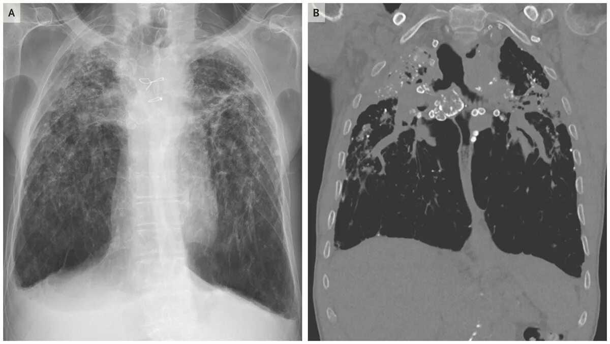
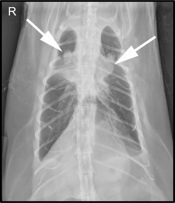
Можно ли вылечить фиброз легких