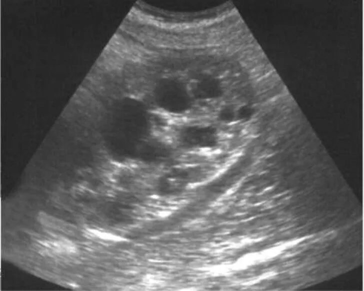
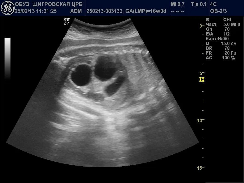
Мультикистозная почек плода