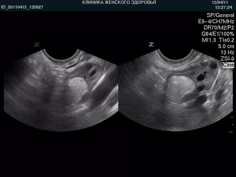
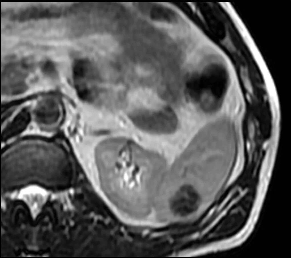
Объемные кистозные образования