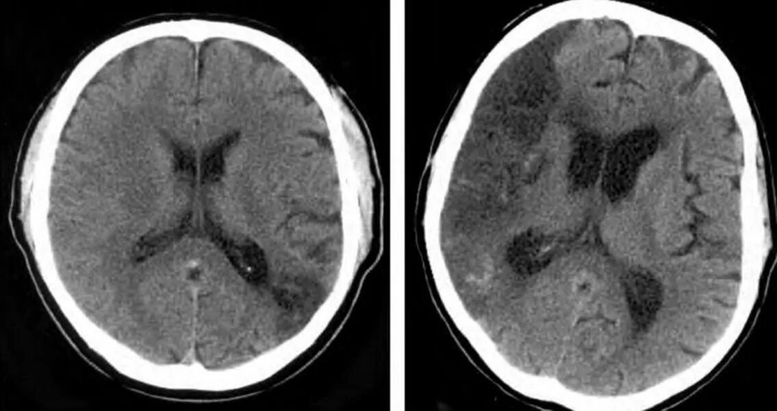
Очагов изменения белого вещества головного мозга