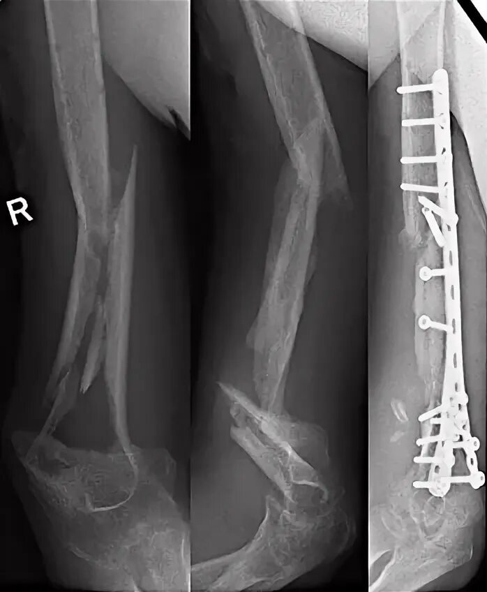
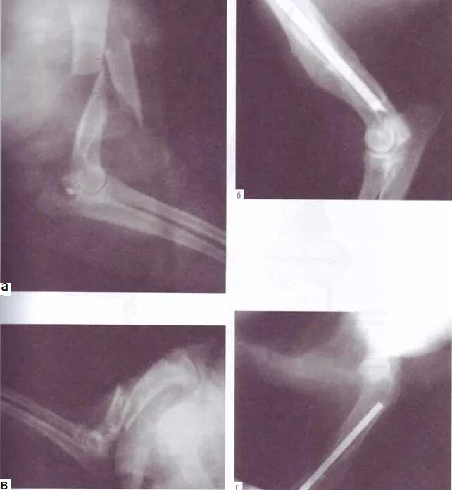
Оскольчатый перелом со смещением