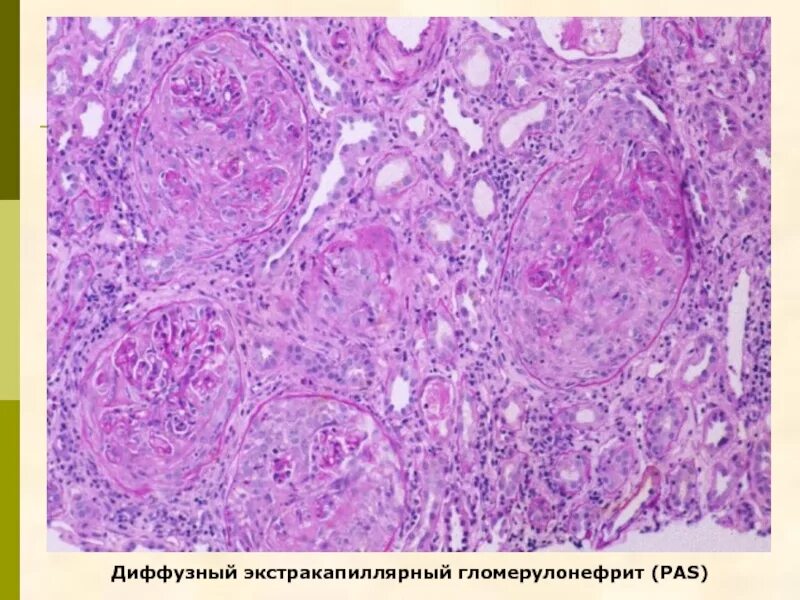
Остром диффузном гломерулонефрите