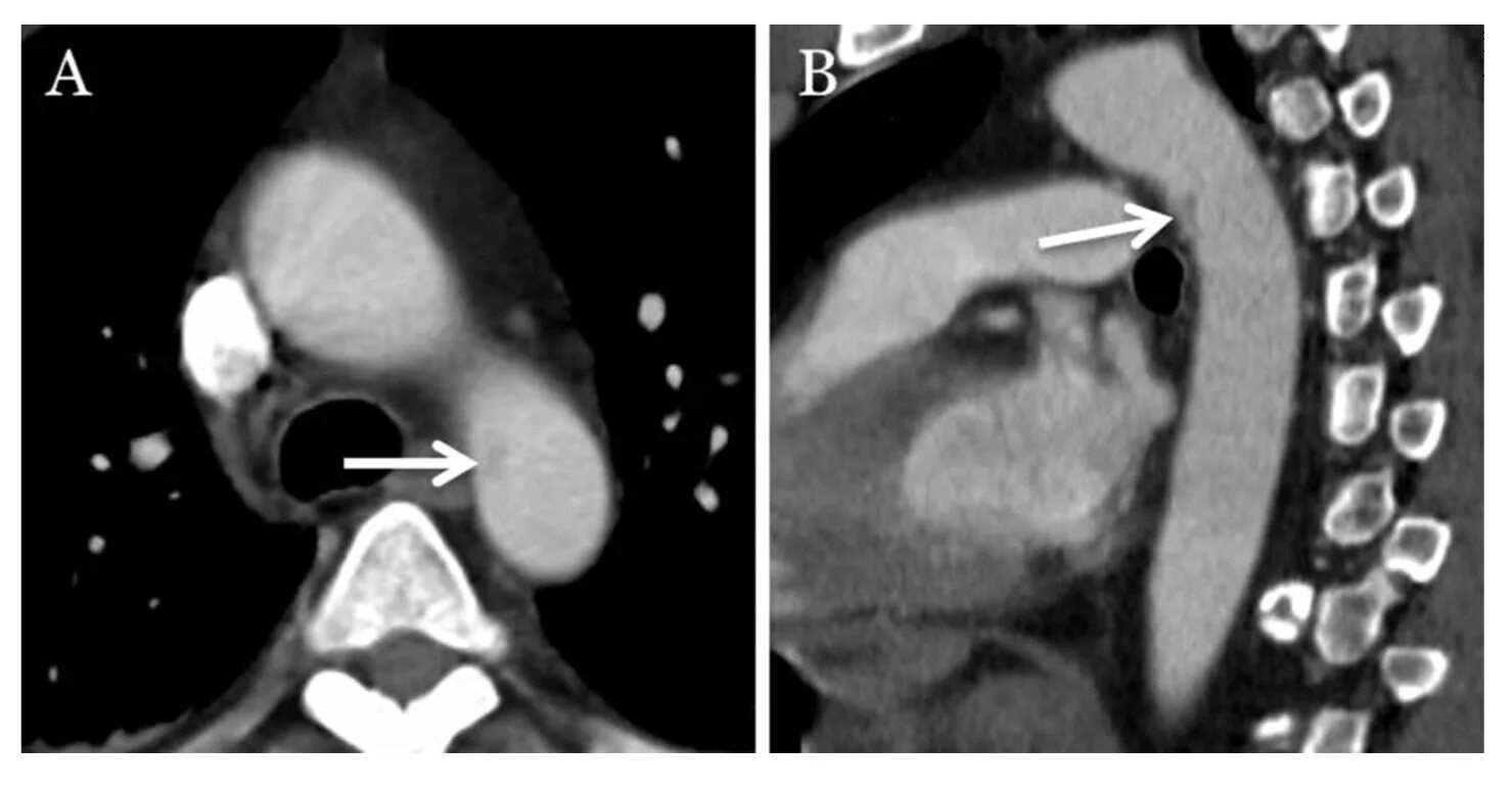
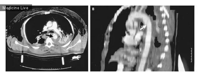
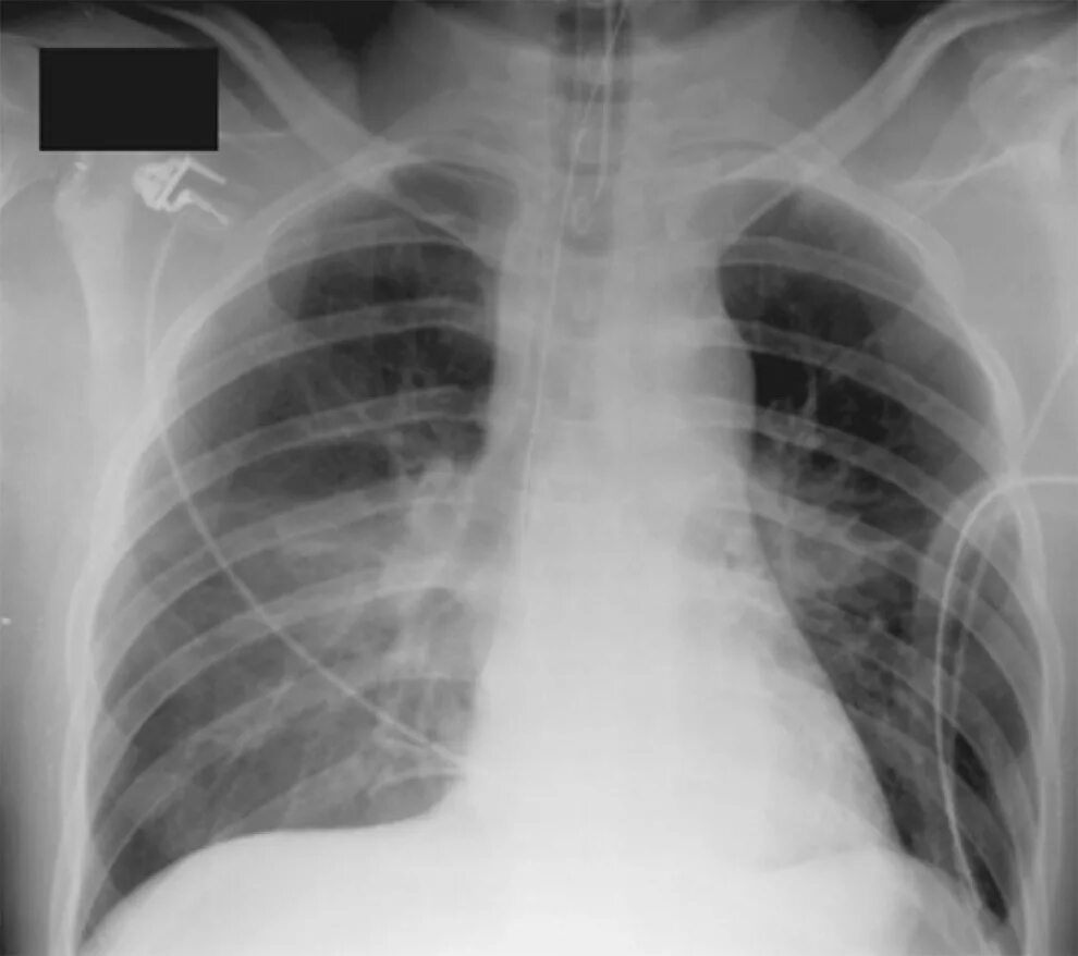
От чего бывает разрыв аорты