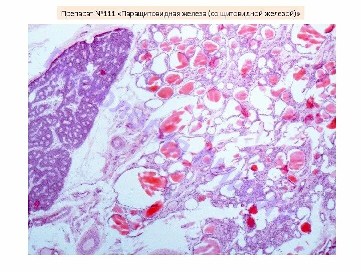
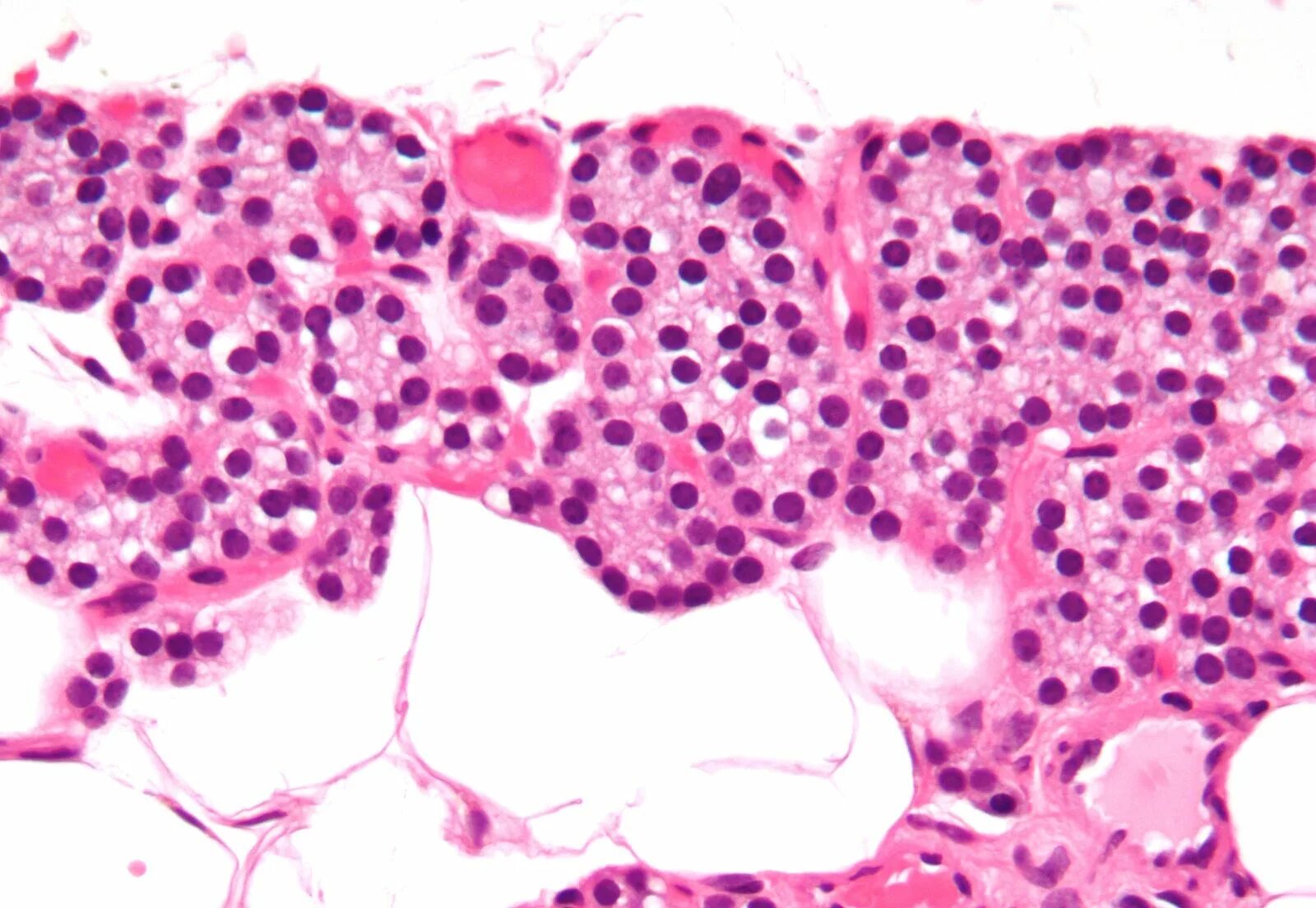
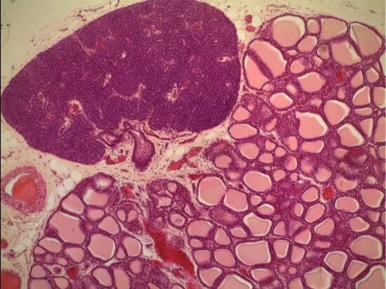
Паращитовидная гистология