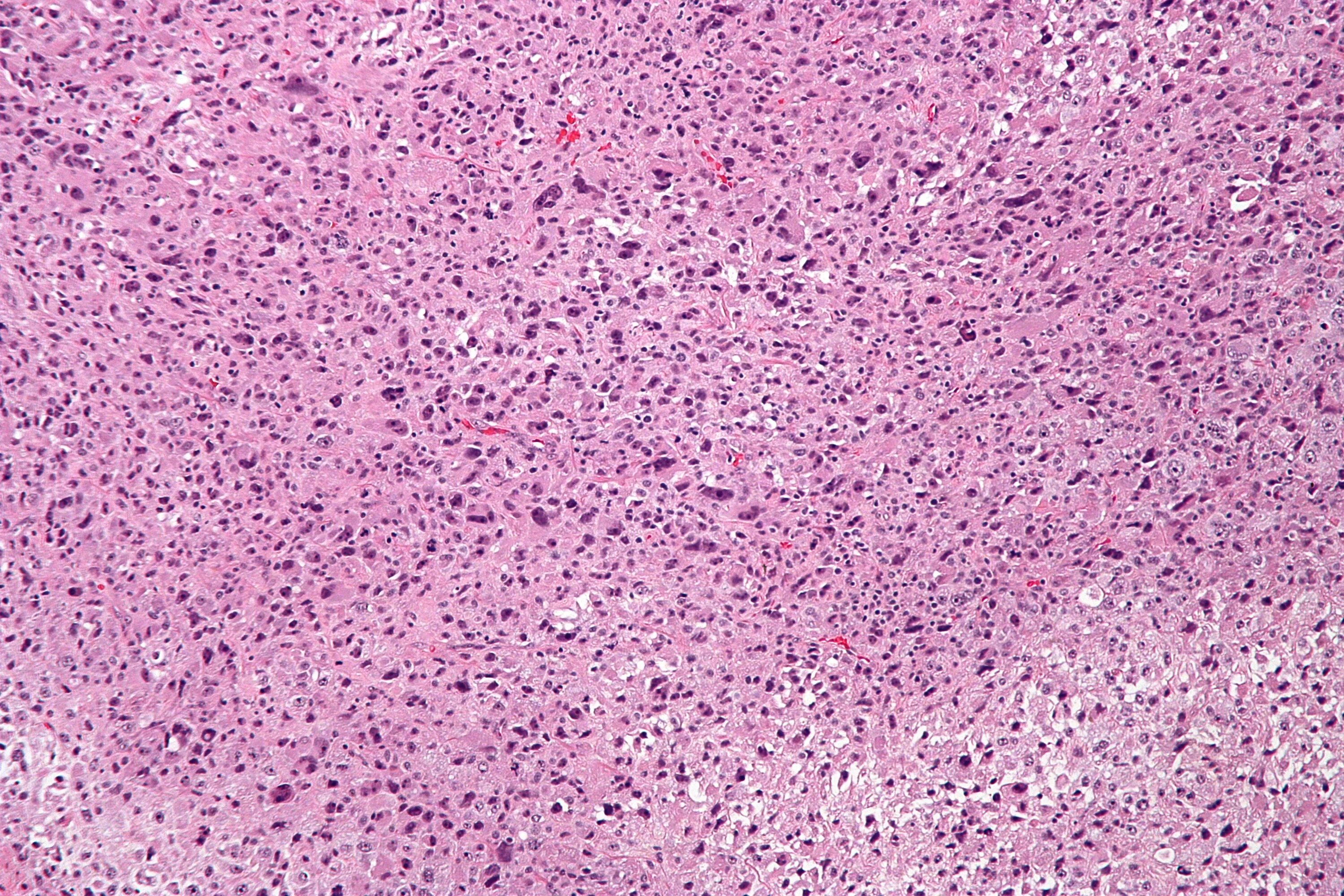
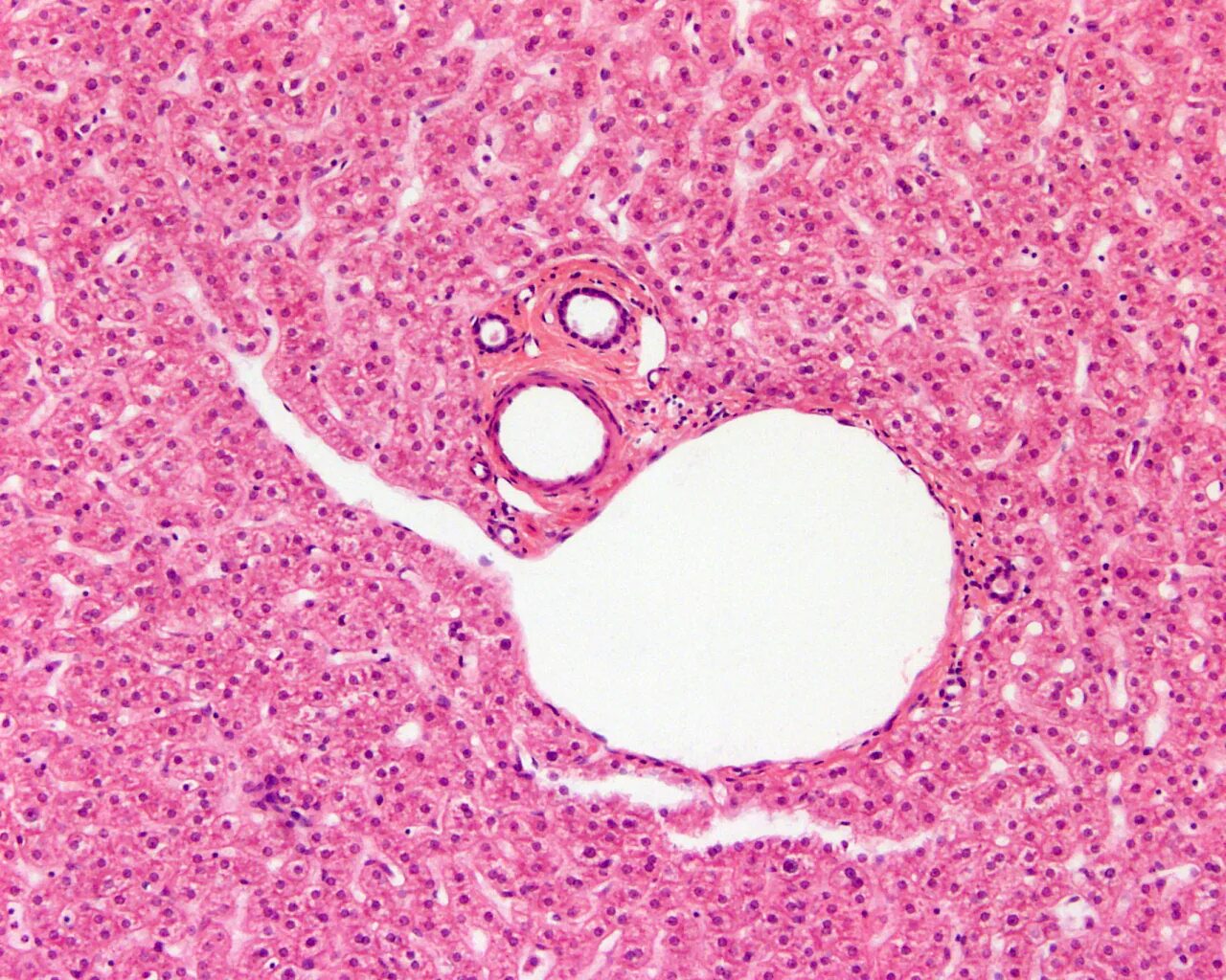
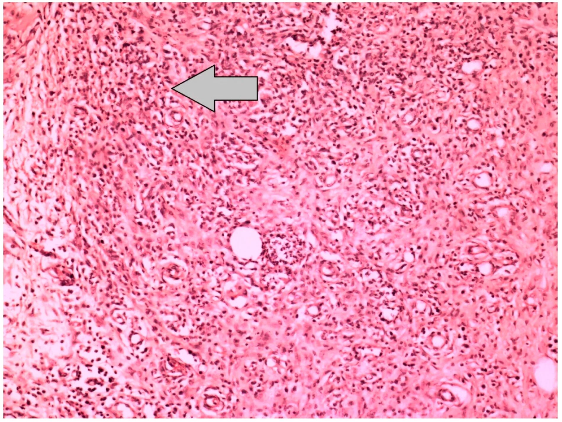
Печень гистологический