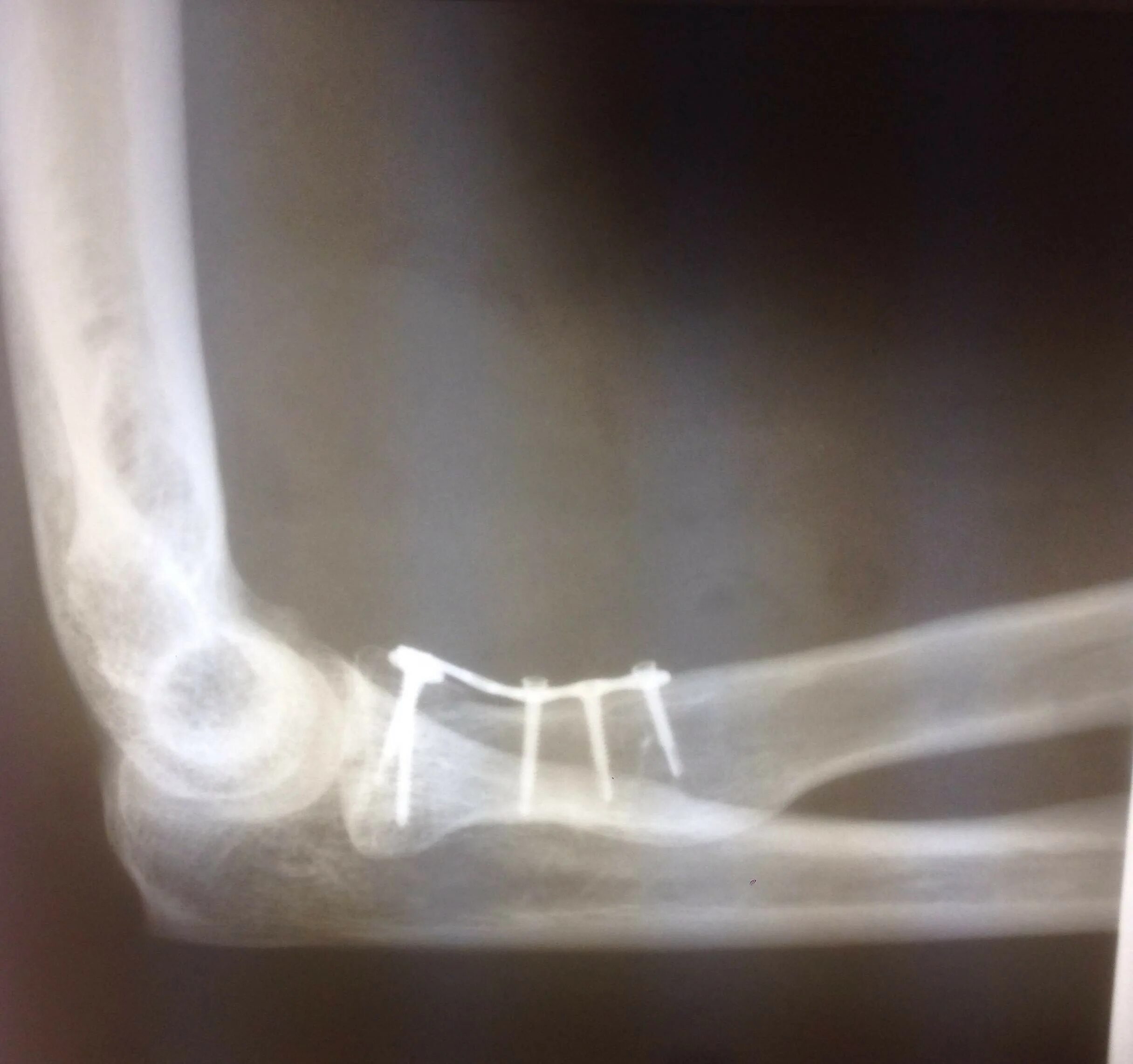
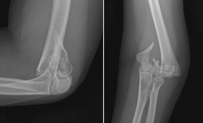
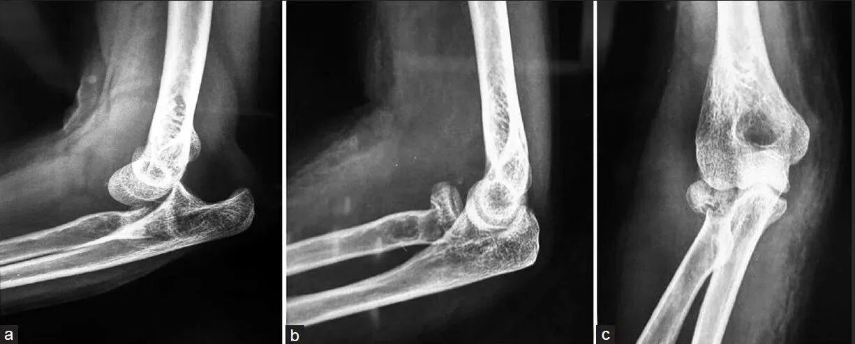
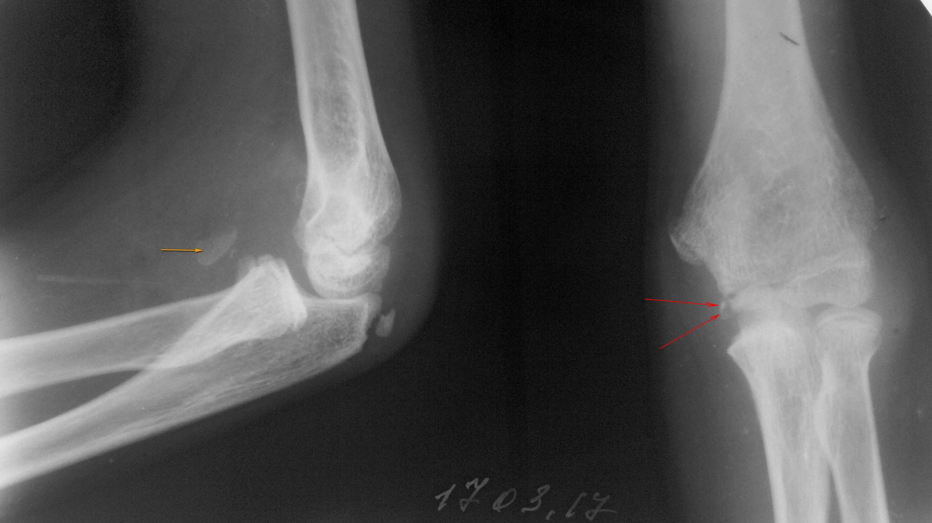
Перелом локтевой сустав мкб 10