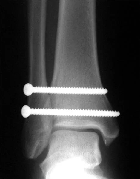
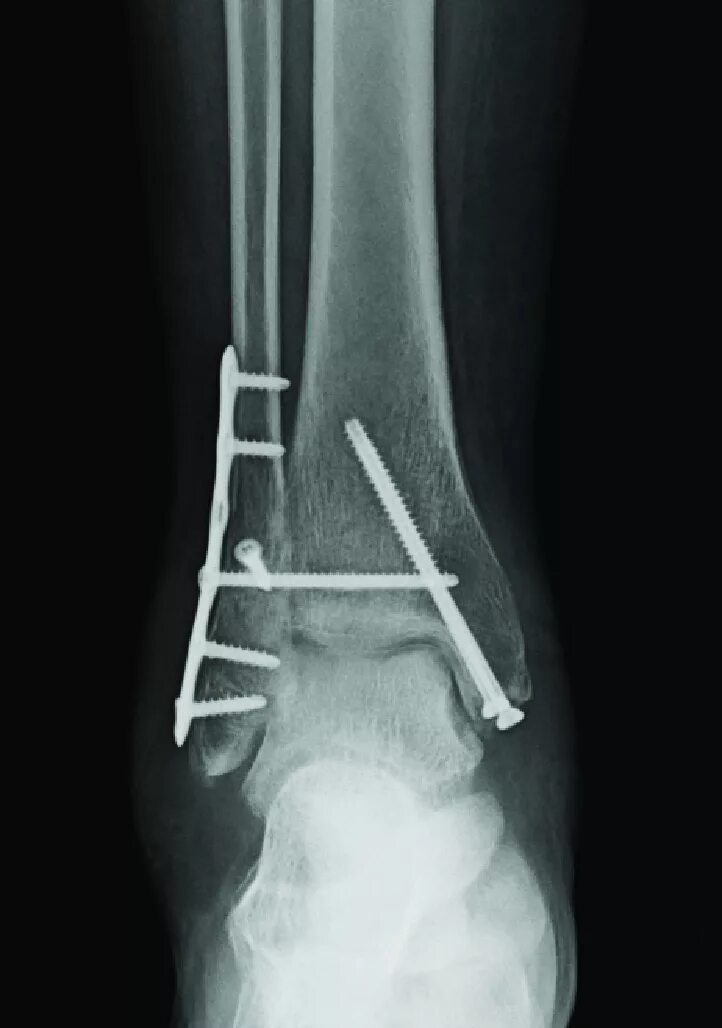
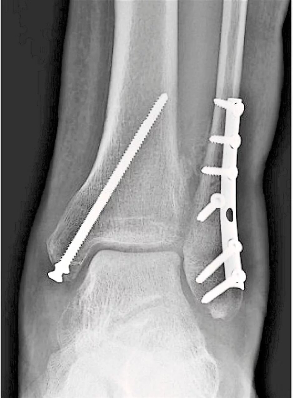
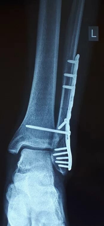
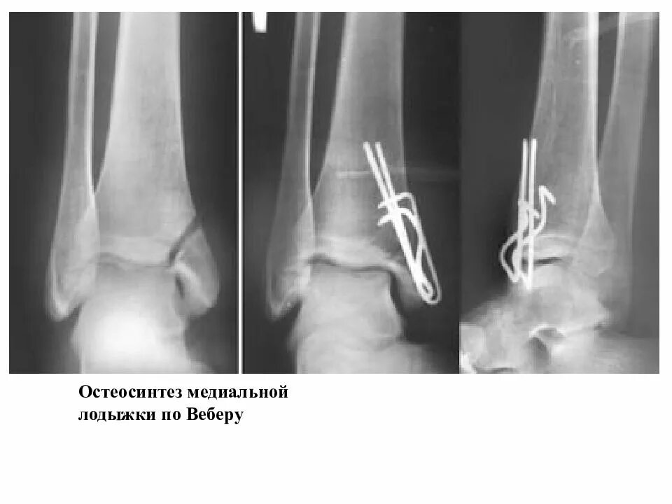
После остеосинтеза лодыжек