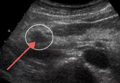
Повышенной эхогенности неоднородной структуры