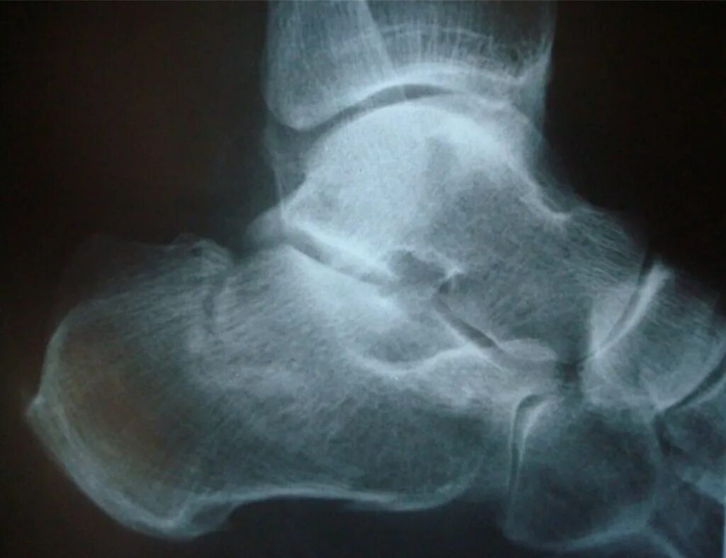
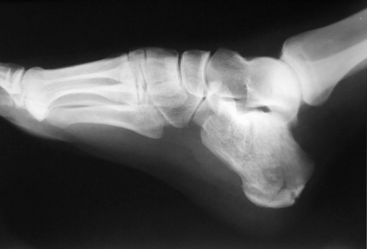
Пяточный перелом без смещения