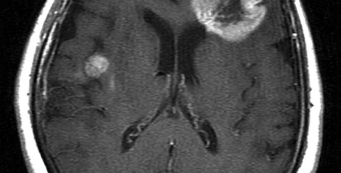
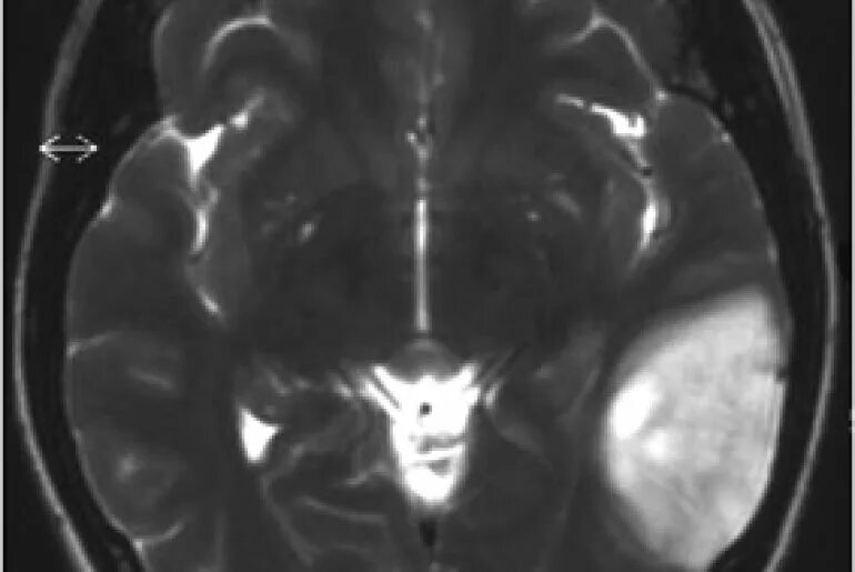
Рак неоперабельный 4 стадия