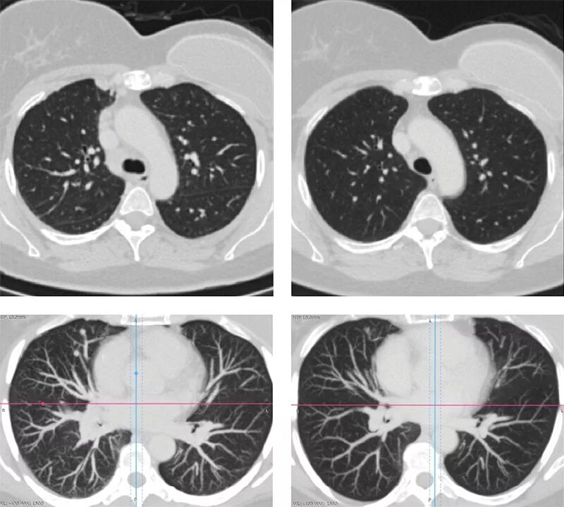
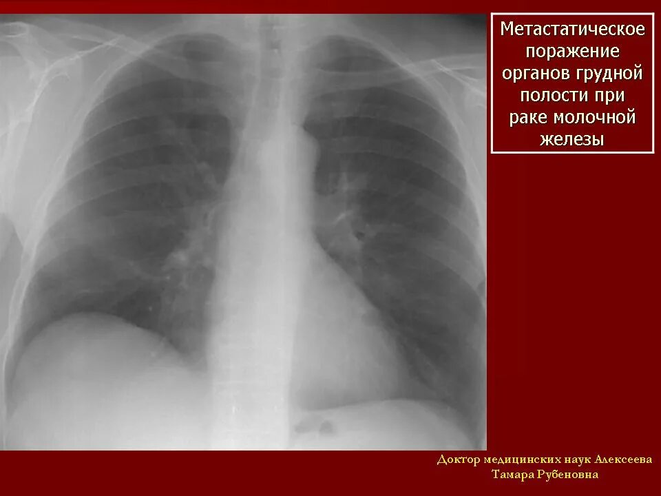
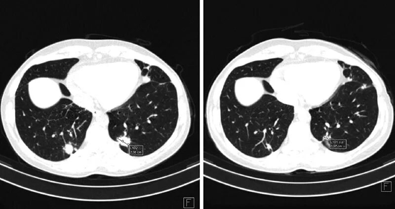
Рмж метастазы в легкие