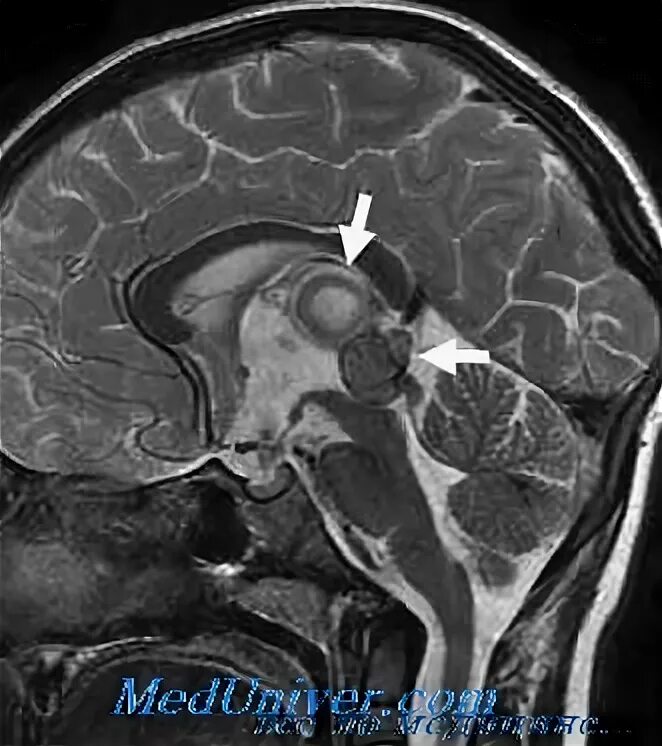
Симптомы кисты эпифиза