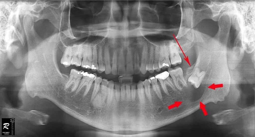
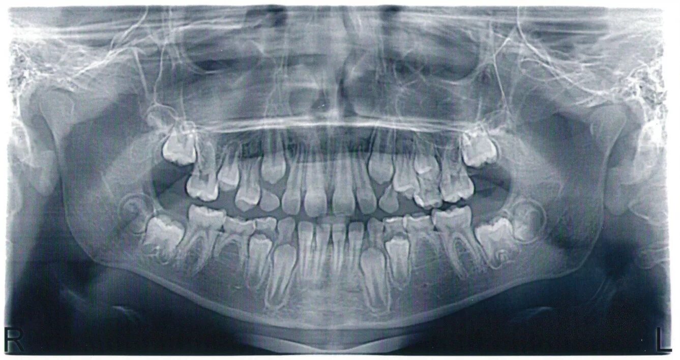
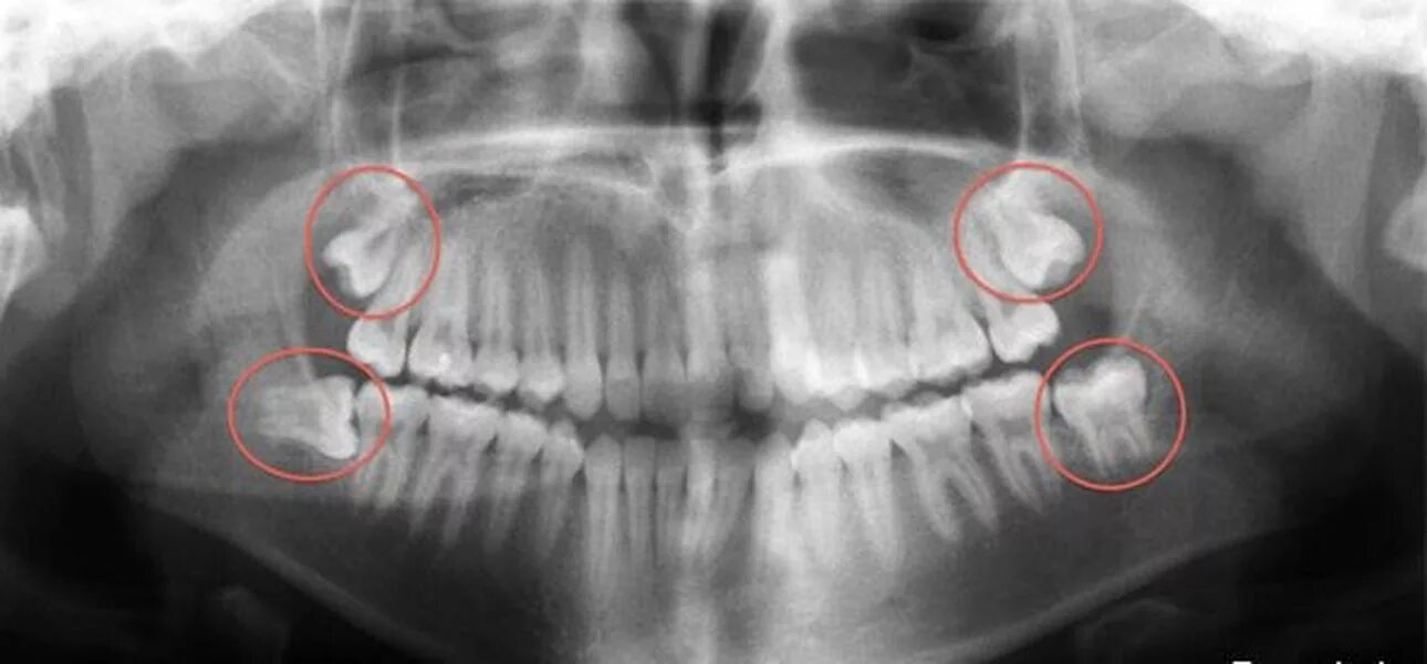
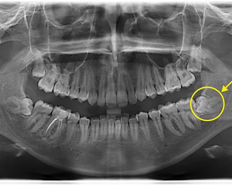
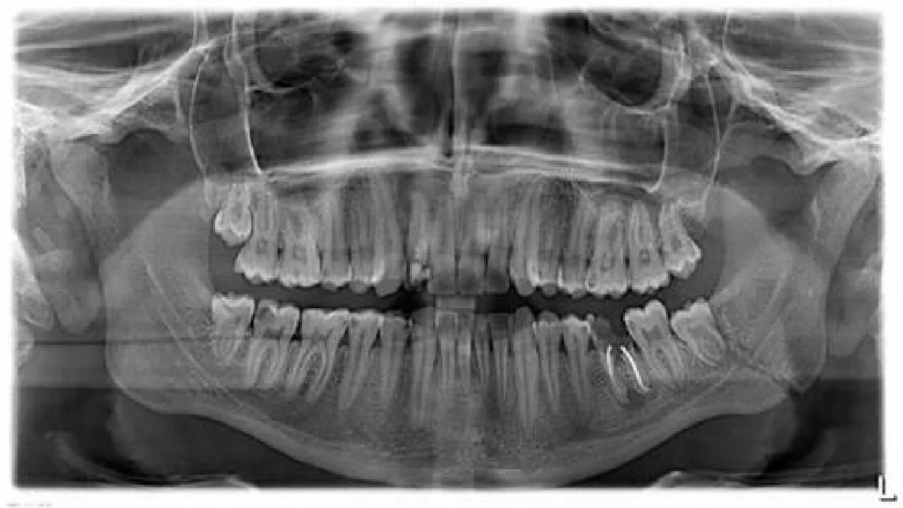
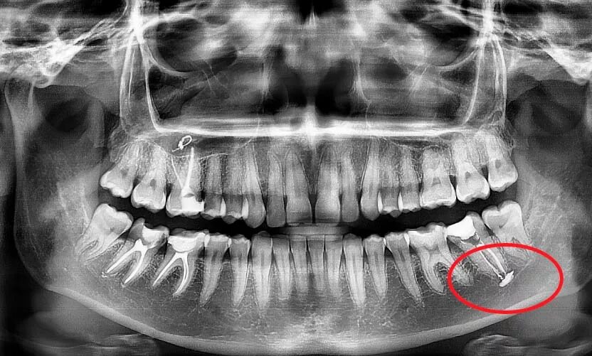
Снимок верхней и нижней челюсти