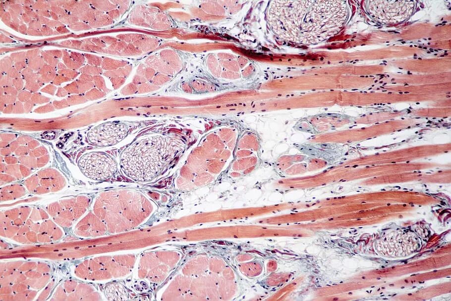
Волокна скелетных мышц под микроскопом их