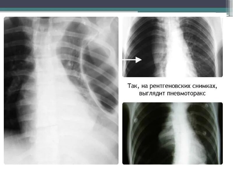
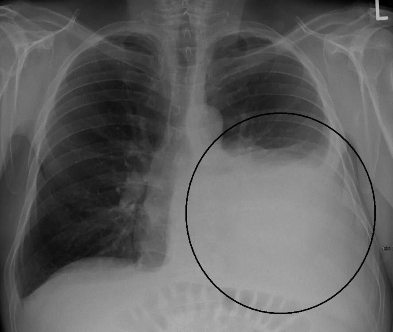
Закончился воздух в легких